Угревая болезнь свойственна подросткам, и все ее признаки обычно проходят к 20 годам. Иногда же никакие усилия не помогают вылечить недуг, и он продолжает прогрессировать. Акне у мужчин во взрослом возрасте сохраняется реже, чем у женщин, но при этом бороться с ним куда сложнее. Также возможно неожиданное появление поздних угрей – высыпаний, возникающих после 25 лет у ранее здорового человека. Акне имеет под собой различные причины, и прежде чем начинать лечение, необходимо выявить, что стало предпосылкой.
От чего возникает акне у мужчин?
Нарушение выработки сального секрета приводит к появлению акне у мужчин, причины, вызывающие болезнь, могут крыться в различных областях.
Если в юности основной фактор возникновения прыщей и угрей – это гормональная перестройка, то после 30 лет акне провоцируют:
- Генетическая склонность;
- Утолщение верхнего слоя эпидермиса;
- Эндокринные или гастроэнтерологические заболевания;
- Недостаточный уход за кожей;
- Систематическое переутомление и стрессы;
- Неправильно составленный рацион питания;
- Употребление анаболических стероидов;
- Лекарственная терапия;
- Повышенная потливость;
- Подкожный клещ;
- Воспаление фолликулов вследствие бритья;
- Чрезмерное увлечение солнечными ваннами.
Акне на спине у мужчин – отдельная тема. Чаще всего к этой форме заболевания ведут гормональные нарушения или механические причины, вследствие которых кожа постоянно подвергается раздражению. Ее натирает:
- Тесная одежда;
- Рюкзаки;
- Автомобильные сиденья;
- Спинки стульев.
Акне у мужчин часто проявляется в подростковом возрасте, но может сохраняться и во взрослом. Врачи отмечают, что гормональные изменения, повышенная активность сальных желез и генетическая предрасположенность играют ключевую роль в развитии этого состояния. У мужчин акне может проявляться более выраженно, особенно на лице, спине и груди.
Для эффективного лечения специалисты рекомендуют комплексный подход. В первую очередь, важно соблюдать правила гигиены и использовать специальные очищающие средства. Врач может назначить топические препараты, содержащие бензоил пероксид или салициловую кислоту, а в более тяжелых случаях — антибиотики или ретиноиды. Также стоит обратить внимание на образ жизни: сбалансированное питание, отказ от курения и регулярные физические нагрузки могут значительно улучшить состояние кожи. Регулярные консультации с дерматологом помогут контролировать процесс и корректировать лечение при необходимости.
https://youtube.com/watch?v=gI5zgUWUCCM
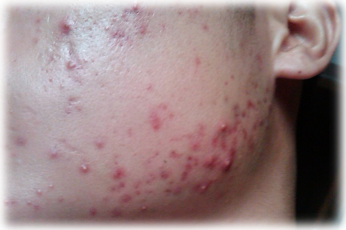
Симптомы (фото) и диагностика
Основные симптомы акне у мужчин – это высыпания, появившиеся на теле или на лице, а также их характер.
Выделяется несколько типов:
- Закрытые комедоны – светлые уплотнения, возникающие из-за скопления жира внутри;
- Открытые комедоны – черные точки, образующиеся вследствие попадания в пору грязи, пыли, ороговевшего слоя эпидермиса;
- Папулы – характеризуются воспалительным процессом;
- Пустулы – воспаленные папулы с гнойным содержимым;
- Кисты – твердая сальная масса, начавшаяся разлагаться в поре или фолликуле.
С помощью фото можно наглядно представить, как выглядит акне у мужчин, чтобы сравнить со своей ситуацией.
Места локализации высыпаний позволяют определить, с каким заболеваниями внутренних органов или изменениями в организме может быть связано акне.
- Прыщи на носу иногда свидетельствуют о пониженном иммунитете, заболеваниях сердца, сосудов и пищеварительной системы, а также об эндокринных нарушениях;
- Акне на лбу говорит о проблемах с кишечником, желчным пузырем или поджелудочной железой;
- Элементы акне на подбородке – сигнал расстройства работы эндокринной или пищеварительной системы, а также дисфункции почек и печени;
- Высыпания на спине – признаки гормонального дисбаланса, нарушенного обмена веществ и дерматологических заболеваний.
Диагностика акне требует посещения дерматолога, чтобы дифференцировать болезнь от других кожных недугов. Также необходимо:
- Получить консультацию узких специалистов;
- Пройти ультразвуковое обследование предстательной железы и яичек;
- Сдать биохимический, гормональный и клинический анализ крови.
Лечение мужского акне
Лечение акне у мужчин должно проходить систематически. При терапии применяют средства местного применения, пероральные таблетки, аппаратные технологии. Также очень важно скорректировать режим дня и питания и тщательно ухаживать за проблемными зонами.
Акне у мужчин — это распространенная проблема, которая может возникать в любом возрасте. Многие мужчины сталкиваются с этой кожной болезнью в подростковом возрасте, но нередко она сохраняется и во взрослом. Основные причины акне включают гормональные изменения, неправильное питание, стресс и недостаточную гигиену кожи.
Мужчины чаще всего имеют более жирную кожу, что может способствовать образованию угрей. Важно помнить, что лечение акне должно быть комплексным. Рекомендуется использовать специальные очищающие средства, которые помогают регулировать выработку себума. Также стоит обратить внимание на диету, исключив из рациона жирную и сладкую пищу.
Консультация с дерматологом может помочь подобрать эффективные препараты, такие как ретиноиды или антибиотики. Не стоит забывать о важности регулярного ухода за кожей и использовании солнцезащитных средств. Правильный подход к лечению акне поможет не только улучшить состояние кожи, но и повысить уверенность в себе.
https://youtube.com/watch?v=W8svHf8lZrw
Местные средства
К средствам для наружного использования относят аптечные гели и лосьоны, или натуральные кремы, созданные на основе органических компонентов.
Базирон АС
Гель, предназначенный для борьбы с комедонами и воспаленными прыщами – Базирон АС.
Пероксид бензоила, действующее вещество препарата, позволяет мужчине:
- Снизить количество воспалений;
- Уменьшить выделяемый жир;
- Уничтожить патогенные микробы;
- Активизировать микроциркуляцию крови;
- Предотвратить прогрессирование акне;
- Очистить лицо от отмерших клеток эпителия.
Курс лечения гелем составляет 3 месяца, частота использования – дважды в сутки. К противопоказаниям относится только индивидуальная непереносимость.
https://youtube.com/watch?v=jJdU6oNJn10
Intraskin
Натуральное средство для избавления от угревых высыпаний. В формуле содержатся гидролаты ромашки и розмарина, D-пантенол, азелаиновая кислота.
Воздействие средства заключается в:
- Регулировании выделения сального секрета;
- Снижении воспалительных процессов;
- Устранении неровностей кожного покрова;
- Активизации клеточного метаболизма.
При легкой форме акне крем следует наносить на лицо 1 раз в сутки, при тяжелой – двукратно. Продолжительность терапии не менее месяца. Органический состав средства позволяет использовать его без ограничений, препятствием может стать только гиперчувствительность к компонентам в составе.
Зинерит
Лосьон разработан для борьбы с гнойными воспалениями и комедонами на фоне нарушения работы сальных желез. В составе Зинерита 2 активных компонента – эритромицин и ацетат цинка.
За счет этого препарат:
- Останавливает воспалительный процесс;
- Растворяет пробки в порах;
- Высушивает пустулы;
- Уничтожает микробы;
- Предупреждает возможные осложнения;
- Уменьшает рытвины и шрамы.
Процедуру обработки лица мужчине нужно проводить утром и вечером на протяжении 3 месяцев. Кроме гиперчувствительности у лосьона нет противопоказаний, однако возможны побочные действия в виде красноты, жжения, зуда и снижения местного иммунитета.
Системные препараты
Системные препараты для приема внутрь необходимы на тяжелых стадиях акне, сопровождающегося обширным поражением кожных покровов и множественными гнойниками.
Антибиотики
Прием антибиотиков рекомендован при средней тяжести акне для комплексной борьбы с бактериальной инфекцией. Наиболее востребованы в дерматологии препараты тетрациклиновой группы и линкозамиды.
Доксициклин, относящийся к тетрациклиновому ряду, антибиотик нового поколения, воздействует на организм, эффективно уничтожая патогенные микроорганизмы и быстро накапливаясь в сальных железах. Дозировка и продолжительность курса назначается лечащим врачом. Очень важно при терапии доксициклином соблюдать правила:
- Воздерживаться от физиотерапии, лазерных процедур, солярия и солнечных ванн:
- Одновременно не употреблять системные ретиноиды, препараты от диабета, психотропные и противосудорожные лекарства.
Превышение дозировки ведет к:
- Головокружениям;
- Непереносимости света;
- Расстройству пищеварительной системы;
- Токсическому воздействию на почки и печень;
- Желтизне зубов.
Линкозамиды включают природный антибиотик линкомицин и его синтетический аналог клиндамицин. Препараты, включающие эти активные вещества, агрессивно воздействуют на патогенную микрофлору, подавляя активность бактерий.
Средства с этой группой антибиотиков мужчине необходимо пить строго по схеме, назначаемой медицинским специалистом, и с соблюдением всех правил приема. В противном случае возможно развитие дисбактериоза кишечника. Препараты нельзя комбинировать с:
- Витаминами группы В;
- Эритромицином;
- Сульфатом магния;
- Глюконатом кальция.
Роаккутан
Сильнодействующий лекарственный препарат из группы ретиноидов. Активный компонент – изотретиноин. Часто применяется при лечении мужчин с акне 3 или 4 степени. К Роаккутану прибегают в случаях, когда более щадящие терапевтические методы не дают результата.
С помощью лекарства достигаются следующие эффекты:
- Регулируется активность сальных желез;
- Снижается синтез кожного жира;
- Уменьшается воспалительный процесс.
Роаккутан не назначается, если имеются:
- Печеночная недостаточность;
- Гипервитаминоз;
- Индивидуальная непереносимость.
Также Роакутан не сочетают с терапией тетрациклинами. Дозировка определяется врачом. Курс лечения обычно продолжительный и может составлять 8-12 месяцев. Лечение Роаккутаном проходит под строгим медицинским контролем из-за обширного перечня побочных действий.
Глюкокортикоиды
Данная группа медикаментов применяется в экстренных случаях, когда необходимо оперативно снять воспалительный процесс. Чаще всего они вводятся инъекционно непосредственно врачом, реже назначается непродолжительный курс для внутреннего употребления.
Основные показания для глюкокортикоидов:
- Абсцедирующие угри;
- Молниеносные прыщи;
- Флегмонозные образования.
Аппаратная терапия
Лечение мужского акне с помощью аппаратных технологий востребовано сильнее, чем любые другие способы из-за быстроты действия и параллельного (в большинстве своем) избавления от постакне.
Применяются следующие методики:
- Лазерное лечение, позволяющее разрушить образования, восстановить состояние кожи и сузить поры;
- Терапия озоном, который губителен для бактерий и грибков;
- Фототерапия, уничтожающая болезнетворные микроорганизмы;
- Ультразвуковая чистка, позволяющая проникнуть в глубокие слои дермы;
- Применение тока, за счет чего рассасываются закрытые комедоны;
- Криотерапия, нормализующая клеточный обмен и активизирующая местный иммунитет за счет воздействия холода;
- ЭЛОС-технология, с помощью которой выравнивается кожный рельеф, гибнут микробы и уменьшаются поры;
- Мезотерапия, снижающая воспаление и улучшающая кровоток;
- Пилинги фруктовыми кислотами, регулирующие выработку кожного сала.
Уход
Кроме непосредственно лечения, мужчине, желающему избавиться от акне, важно правильно ухаживать за кожей.
Для этого требуется:
- Дважды в день умываться со специальными средствами;
- Раз в неделю применять скрабы для проблемной кожи, а также по возможности пользоваться маской Black Mask;
- Использовать тоники или лосьоны для мужчин, сужающие поры;
- После умывания наносить увлажняющий крем.
Также важно следовать правилам, касающимся бритья:
- Бриться после душа или ванны, когда кожа распарена;
- Двигаться строго по росту волос;
- Чаще менять лезвия;
- Использовать средства после бриться с дезинфицирующим эффектом.
Дополнительные советы
При «ликвидации» акне у взрослого мужчины следует придерживаться нескольких советов, чтобы процесс лечения шел быстрее.
- Больше жидкости. Обычная вода или травяные чаи (отвары) повышают обмен веществ и способствуют выводу из организма шлаков;
- Витамины. Минерально-витаминные комплексы помогут восполнить недостаток микроэлементов;
- Правильный рацион. Постное мясо, рыба, овощи, фрукты, орехи, крупы и кисломолочные продукты обогащают организм полезными веществами, а вот сахар, жирные блюда, копчености и жареное усугубляют течение акне;
- Отказ от алкоголя (в том числе и пива) и сигарет. Содержащиеся в них токсины сводят на «нет» все медицинские усилия по лечению болезни;
- Одежда. Она должна быть из натуральных материалов и пропускать кислород, иначе пот и трение приумножат количество высыпаний.
Профилактика
Предотвратить появление угревых высыпаний у мужчин просто. Важно лишь соблюдать банальные правила.
А именно:
- Регулярно очищать кожу лица и тела;
- В жару для лица применять салфетки, разработанные для грудных детей;
- Содержать в чистоте бритву или бритвенный станок;
- Во время приема душа тщательно мыть все тело, включая труднодоступные участки спины;
- Чаще носить хлопковые футболки и полностью избегать синтетики;
- Не выдавливать единичные прыщи – содержимое может перенести инфекцию на соседние участки кожи, к тому же – после этого остается постакне, с которым бороться еще труднее, чем с прыщами.
Вопрос-ответ
От чего появляется акне у мужчин?
Акне у взрослых мужчин встречается уже не так часто, но бывает. Причины могут быть разными: хронический стресс, неправильное питание, прием некоторых добавок (особенно спортивных, вроде тестостероновых бустеров), недостаточная гигиена после тренировок или гормональные нарушения.
Какое самое эффективное средство от акне?
Самым эффективным средством от акне считается ретиноид, такой как адапален или третиноин, который помогает ускорить обновление клеток кожи и предотвращает закупорку пор. Также часто применяются бензоил пероксид и салициловая кислота, которые обладают антибактериальными и противовоспалительными свойствами. Однако для достижения наилучших результатов рекомендуется проконсультироваться с дерматологом для подбора индивидуального лечения.
Какой орган отвечает за акне?
Сальные железы в коже человека располагаются у основания волосяного фолликула. Они продуцируют кожное сало, которое увлажняет кожу и защищает от негативного влияния окружающей среды, бактерий и грибов. Гиперсекреция сальных желез провоцирует формирование прыщей (акне, угрей).
Советы
СОВЕТ №1
Регулярно очищайте кожу. Используйте мягкие очищающие средства, которые подходят для вашего типа кожи. Это поможет удалить излишки жира и грязи, которые могут забивать поры и способствовать образованию акне.
СОВЕТ №2
Не забывайте про увлажнение. Даже если у вас жирная кожа, важно использовать легкие увлажняющие кремы. Это поможет поддерживать баланс влаги и предотвратит излишнюю выработку себума.
СОВЕТ №3
Обратите внимание на свой рацион. Употребление продуктов с высоким содержанием сахара и жиров может усугубить состояние кожи. Старайтесь включать в свой рацион больше овощей, фруктов и цельнозерновых продуктов.
СОВЕТ №4
Консультируйтесь с дерматологом. Если акне не проходит или ухудшается, важно обратиться к специалисту. Он сможет назначить подходящее лечение, включая медикаменты или процедуры, которые помогут улучшить состояние кожи.











