Общие сведения
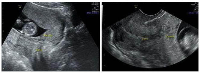
Что значит предлежание плаценты при беременности? Плацента при нормальном течении беременности располагается преимущественно в областях лучшей васкуляризации миометрия, то есть в зоне наилучшего кровоснабжения стенки матки к которой относятся тело/дно или задняя/боковая стенка матки. Кроме того, такое расположение плаценты минимизирует риск ее повреждения. Несколько реже плацента располагается на передней стенке матки, поскольку передняя стенка подвержена существенно большим изменениям. Одной из аномалий (патологий) беременности является предлежание плаценты, для которой характерно прикрепление плаценты по любой стенке матки к ее нижнему сегменту (нижнее прилежание), то есть, плацента находится перед предлежащей частью плода и полностью/частично перекрывает внутренний маточный зев (рис. ниже).
Плацента является важнейшим компонентом системы мать-плацента-плод, которая формируется с начала беременности и функционирует до рождения ребенка. В ее формировании участвуют производные эмбриобласта/трофобласта и децидуальная ткань, а ее функцией является обеспечение необходимых условий для нормального развития плода/физиологического течения беременности (дыхательная, питательная, защитная, выделительная, эндокринная функции). Формирование плаценты заканчивается полностью на сроке беременности 20 недель и на этом же сроке на УЗИ определяется предлежание плаценты. В норме плацента не должна доходить своим нижним краем до внутреннего зева на 7 и более см. Низкое прилежание плаценты характеризуется ее расположением между зевом матки и нижним краем на расстояние менее 6 см и при этом, плацента внутренний зев не перекрывает.
Как правило предлежание плаценты на ранних стадиях беременности выявляется на первом УЗИ-обследовании (чаще на 11-13 неделе) и определяется как аномальное расположение хориона — в последующем плаценты (краевое предлежание хориона). Нередко центральное предлежание хориона, определяемое в 1-м триместре беременности к ее окончанию, переходит в низкое расположение плаценты. Следует отметить, что краевое предлежание хориона на 12 неделе не означает, что у беременной к сроку родов обязательно будет краевое предлежание плаценты. Это обусловлено так называемым «феноменом миграции» плаценты, который проявляется в ее смещении вверх от внутреннего зева шейки матки по мере увеличения срока беременности.
По литературным данным почти в 10% случаев при сроке 12-13 недель беременности выявляется предлежание хориона, но лишь в 0,5% случаев сохраняется полное предлежание плаценты к сроку родоразрешения. Согласно данным исследований миграция плаценты при ее низком расположении происходит почти в 95% случаев. При этом происходит смещение подлежащего миометрия, а не движение самой плаценты. Процесс миграции плаценты протекает медленно и заканчивается ориентировочно к 32-35 неделям. Об этом свидетельствуют многочисленные отзывы многих женщин, посещающих специализированный форум для беременных. Миграция происходит чаще в случаях ее расположения по передней стенке, и реже при расположении по задней стенке.
Однако, краевое предлежание хориона является основанием для отнесения таких женщин в группу «потенциального риска» с тщательным динамическим наблюдением за ними, поскольку такая локализация хориона увеличивает риск маточных кровотечений с угрозой прерывания периода гестации (самопроизвольное прерывание беременности на ранних сроках). А если предлежание плаценты сохраняется до 26-28 недели гестации (при контроле УЗИ) показана обязательная госпитализация с постоянным наблюдением врачей до момента родов.
Согласно статистическим данным, частота предлежания плаценты варьирует в пределах 0,3%-1,04%, а частота низкой плацентации достигает 9,1%. При этом, при предлежании плаценты показатели материнской смертности колеблются в пределах 2,1%-10,5%, а перинатальная смертность достигает 22,5–41,8 %. Предлежание плаценты чаще встречается у женщин, беременных повторно, чем у первородящих.
Врачи подчеркивают важность внимательного наблюдения за женщинами с предлежанием плаценты, так как это состояние может привести к серьезным осложнениям как для матери, так и для ребенка. Краевое и низкое предлежание плаценты часто не требуют немедленного вмешательства, однако требуют регулярного ультразвукового контроля. Полное предлежание, при котором плацента перекрывает шейку матки, может потребовать планового кесарева сечения для предотвращения кровотечений и других рисков во время родов. Специалисты рекомендуют женщинам с данным диагнозом избегать физических нагрузок и следить за своим состоянием. Важно, чтобы пациентки были информированы о возможных симптомах, таких как кровотечения, и немедленно обращались за медицинской помощью при их появлении.

Чем грозит низкое предлежание плаценты при беременности?
Низкое прилежание плаценты при беременности сопровождается повышенным риском ее повреждения/отслоения под давлением плода или при его активном поведении на поздних сроках беременности, а также при любом внешнем воздействии. Чем грозит предлежание плаценты для плода и беременной?
Предлежание плаценты сопровождается высоким риском формирования во 2-3 триместрах беременности хронической плацентарной недостаточности, оказывающей негативное влияние на развитие/рост плода, способствуя развитию гипоксии , неправильному положению/недоношенности плода, преждевременным родам. Основным осложнением при предлежании плаценты является кровотечение из половых путей. При этом, вероятность развития маточного кровотечения возрастает по мере развития беременности, что является ведущей причиной перинатальной заболеваемости/репродуктивных потерь.
Чем опасно краевое предлежание плаценты и чем полное предлежание плаценты грозит?
Как известно вид предлежания плаценты оказывает влияние также и на характер кровотечения. Для неполного предлежания плаценты более характерны кровотечения в 3 триместре беременности/в родах вплоть до геморрагического шока , а для полного предлежании более характерны ранние кровотечения (во 2 триместре беременности). Варьирует и частота кровотечений в зависимости от вида предлежания. Согласно литературным данным, при неполном предлежании плаценты кровотечение отмечается в 66,6% случаев, а при полном предлежании в 33,4%.
Если не возникает кровотечение/отслойка предлежащей плаценты при частичном предлежании возможны роды через естественные родовые пути, а при полном предлежании всегда проводится кесарево сечение .
Предлежание плаценты — это состояние, которое вызывает много обсуждений и переживаний среди будущих мам. Многие женщины, узнав о диагнозе, испытывают страх и неуверенность. Некоторые делятся своими историями в интернете, рассказывая о том, как они справлялись с этой ситуацией. Многие отмечают, что важно следовать рекомендациям врача и не паниковать. Некоторые женщины, столкнувшиеся с краевым или низким предлежанием, отмечают, что это не всегда означает серьезные проблемы, и в большинстве случаев состояние может измениться по мере роста беременности. Полное предлежание, в свою очередь, вызывает больше беспокойства, так как может потребовать кесарева сечения. Однако опыт других мам показывает, что поддержка близких и правильная информация помогают справиться с любыми трудностями. Важно помнить, что каждая беременность уникальна, и лучше всего доверять своему врачу.

Патогенез
Плодное яйцо в норме прикрепляется в области дна матки (верхней трети полости матки). Но при его неполноценности плодное яйцо своевременно прикрепиться в этой области не может, что способствует его имплантации в эндометрий, когда оно уже переместилось в нижние отделы матки. Это происходит при позднем появлении ферментативных процессов в трофобласте, наличии атрофических/дистрофических процессов в слизистой матки, которые нарушают процесс имплантации.
По мере развития беременности стенки нижнего отдела матки начинают растягиваться. При этом, мышечные волокна нижних отделах матки начинают сокращаются, а поскольку плацента сокращаться/растягиваться вслед за стенками матки неспособна, это приводит к смещению участка плаценты и участка нижнего сегмента матки.
Соответственно, ворсинки, покрывающие плаценту от стенок матки отрываются, что вызывает кровотечение из сосудистого русла плацентарной ткани. При прекращении сокращения мышц отслойка плаценты также прекращается, происходит тромбоз сосудов и остановка кровотечения. При повторных сокращениях матки возникают повторяющиеся кровотечения.
Когда начинаются роды (родовая деятельность) появление кровотечений вызвано натяжением плодных оболочек, удерживающих край плаценты, что не позволяет ей сокращаться с нижними отделами матки. Такое натяжение нарушается связь между плацентой и маткой, вызывая кровотечение. При разрыве плодных оболочек плацента сокращается вместе с мышцами нижнего сегмента матки и процесс отслаивания останавливается. Кроме того, при неполном предлежании головка плода во время родов, опустившаяся в таз после разрыва плодных оболочек, поджимает края плаценты, что способствует остановке кровотечения, а в случаях полного предлежания кровотечение продолжается, поскольку плацента в процессе сглаживания шейки матки продолжает отслаиваться.
Классификация
Классификационным признаком прилежания плаценты является ее расположение относительно области внутреннего зева, в связи с чем принято выделять:
- Полное предлежание плаценты — при этом плацента целиком перекрывает внутренний зев шейки матки. В структуре случаев неправильного расположения плаценты полное предлежание встречается в 20-44% случаев.
- Частичное предлежание плаценты — при этом плацента перекрывает внутренний зев шейки матки не полностью (неполное предлежание). В свою очередь частичное предлежание подразделяется на боковое предлежание (плацента перекрывает внутренний зев на 2/3 его площади) и краевое прилежание плаценты (ее край подходит к внутреннему зеву на расстоянии меньше 3 см). Частичное предлежание встречается в 31% случаев.
Разделение на переднее предлежание плаценты, заднее и центральное предлежание плаценты в классификации не используется. При этом, может выделяться переднее, центральное или заднее расположение плаценты само по себе, но оно не связано с предлежанием.

Тактика родов при предлежании плаценты
В большинстве случаев женщинам рекомендовано кесарево сечение, исключающее риск осложнений для матери и ребенка, которые могут возникнуть из-за внезапно начавшегося кровотечения. Операция может быть плановой на сроке 36-38 недель либо экстренной — в любой момент беременности при появлении осложнений. Если отсутствуют серьезные риски для здоровья роженицы и ребенка возможно ведение естественных родов.
Плановое кесарево сечение
Согласно клиническим рекомендациям Минздрава по предлежанию плаценты, плановая операция родоразрешения проводится при наличии таких показаний:
1. Полное предлежание. В этом случае ведение естественных родов невозможно, поскольку путь, через который должен пройти ребенок, перекрыт плацентой. При попытке самостоятельных родов развивается угрожающее жизни матери кровотечение, которое сложно остановить.
2. Неполное предлежание плаценты с сопутствующими патологиями:
- многоплодная беременность;
- возраст женщины более 30 лет (особенно, если это первые роды);
- рубец на матке после кесарева сечения или других операций;
- выраженное многоводие;
- узкий таз;
- неправильное положение плода — тазовое, поперечное, косое предлежание.
Кесарево сечение является оптимальным вариантом родоразрешения. Некоторые женщины сомневаются в его проведении, остерегаясь рисков для ребенка или послеоперационных осложнений, однако операция намного менее опасна, чем открывшееся кровотечение. Опытные гинекологи проводят кесарево сечение быстро, точно и безопасно, а при использовании анестезии учитываются фармакологические особенности препаратов, чтобы не навредить ребенку.
Особенно внимательным врач должен быть при краевом предлежании плаценты по передней стенке, поскольку в этом случае после разреза возможны обильные кровотечения, которые потребуют радикальных мер вплоть до экстирпации матки. Чтобы этого избежать, существуют специальные техники выполнения кесарева сечения. В тоже же времякраевое предлежание плаценты по задней стенкенамного реже сопровождается осложнениями.
Экстренное кесарево сечение
Внеплановое оперативное родоразрешение в основном проводится при полном предлежании плаценты при беременности, которое зачастую проявляется маточным кровотечением. Оно выполняется на любом сроке после 22 недели по абсолютным показаниям:
- обильное кровотечение у женщины с центральным предлежанием плаценты;
- повторяющиеся кровотечения, которые плохо купируются медикаментозной терапией;
- жизнеугрожающая кровопотеря на любом сроке беременности при любом типе предлежания плаценты;
- частые кровотечения, которые сопровождаются тяжелой анемией и другими осложнениями.
После экстренного родоразрешения раньше срока рождаются незрелые дети, которым требуется специальный уход в отделении неонатологии. Для полноценного лечения применяются современные системы кислородной поддержки, парентерального питания, ряд медикаментов, что позволяет выхаживать младенцев даже с экстремальной низкой массой тела.
Естественные роды
Основные условия для проведения физиологического родоразрешения:
- неполное предлежание плаценты;
- отсутствие кровяных выделений в течение беременности;
- хорошие показатели здоровья беременной, отсутствие экстрагенитальных патологий;
- нормальное внутриутробное развитие плода;
- головное предлежание плода.
Роды проводятся по стандартному протоколу, однако есть важное отличие: показано раннее вскрытие плодного пузыря при установившейся родовой деятельности или появлении кровянистых вагинальных выделений. Такая манипуляция помогает головке плода быстрее опуститься в полость таза, за счет чего плацента прижимается к стенке матке, и кровотечение естественным образом останавливается. Для улучшения сократимости матки, ускорения родов и дополнительной профилактики кровотечения применяется окситоцин.
Функции плаценты
- Во-первых, через плаценту осуществляется газообмен: кислород проникает из материнской крови к плоду, а углекислый газ транспортируется в обратном направлении.
- Во-вторых, плод получает через плаценту питательные вещества, необходимые для его роста и развития. Необходимо помнить, что многие вещества (алкоголь, никотин, наркотические средства, многие лекарственные препараты, вирусы) легко проникают через нее и могут оказывать повреждающее действие на плод. Кроме того, с ее помощью плод избавляется от продуктов своей жизнедеятельности.
- В-третьих, плацента обеспечивает иммунологическую защиту плода, задерживая клетки иммунной системы матери, которые, проникнув к плоду и распознав в нем чужеродный объект, могли бы запустить реакции его отторжения. В тоже время плацента пропускает материнские антитела, защищающие плод от инфекций.
- В-четвертых, плацента играет роль железы внутренней секреции и синтезирует гормоны (хорионический гонадотропин человека (ХГЧ), плацентарный лактоген, пролактин и т.д.), необходимые для сохранения беременности, роста и развития плода.
В норме плацента вместе с оболочками (послед) рождается через 10-15 минут после рождения плода. Ее внимательно осматривают и отправляют на морфологическое исследование. Во-первых, очень важно убедиться в том, что плацента родилась целиком (то есть на ее поверхности отсутствуют повреждения и нет оснований считать, что кусочки плаценты остались в полости матки). Во-вторых, по состоянию плаценты можно судить о течении беременности (не было ли отслойки, инфекционных процессов и т.п.).
Причины
Предлежание плаценты может быть обусловлено множеством факторов, среди которых выделяют:
- Патологические изменения внутреннего слоя стенки матки (эндометрия), обусловленные инфекционно-воспалительным процессом, способствующего развитию атрофических/дистрофических изменений в эндометрии.
- Аномалии полости матки/половых органов (недоразвитие матки, двурогая /однорогая матка, половой инфантилизм).
- Миома матки с деформацией её полости.
- Беременность после хирургических вмешательств ( аборты , кесарево сечение , удаления миом матки).
- Повторная беременность после осложнений в послеродовом периоде.
- Экстрагенитальные заболевания беременных женщин, протекающих на фоне развития застойных явлений в малом тазу и матки в том числе.
- Использование вспомогательных репродуктивных технологий (ЭКО).
- Возраст беременной – старше 30 лет.
Вызвать кровотечение при прилежании плаценты могут гинекологические манипуляции, чрезмерная физическая нагрузка/напряжение при акте дефекации, половой акт, тепловые процедуры (горячая ванна, посещение бани).
Симптомы
Основной клинический симптом предлежания плаценты — маточные кровотечения в разные сроки беременности (от 1-го триместра до родов), различной степени выраженности. Кровотечение при предлежании плаценты часто провоцируется кашлем, натуживанием при дефекации, физической нагрузкой, влагалищным исследованием, половым актом, тепловыми процедурами. Накануне родов кровотечение как правило усиливается, что обусловлено периодическими сокращениями матки.
Симптомы предлежания плаценты (характер/интенсивность кровотечения) обусловлены видом предлежания плаценты. При этом, чем степень предлежания плаценты больше, тем интенсивнее и раньше бывает кровотечение. Так, для полного предлежания характерны обильность кровопотери, внезапное развитие кровотечения на фоне отсутствия болевых ощущений. При неполном предлежании кровотечение развивается преимущественно ближе к сроку родов и наблюдаются особенно часто в период сглаживания/раскрытия зева (в начале родов).
Кровотечения характеризуются рядом особенностей:
- Внезапным началом, зачастую без видимой причины (во время ночного сна, отдыха).
- Наружным и повторяющимся характером.
- Отсутствием боли.
- Ярко-красной окраской вытекающей крови.
Часто рецидивирующая кровопотеря способствует быстрому развитию анемизации беременной. При этом, снижение количества эритроцитов и ОЦК может вызывать развитие ДВС-синдрома и гиповолемического шока.
Беременность при предлежании плаценты зачастую протекает с артериальной гипотонией, гестозом, угрозой самопроизвольного аборта. Преждевременные роды чаще встречаются на фоне полного предлежания плаценты. Важнейшим симптомом предлежания плаценты также является гипоксия плода, что обусловлено неучастием отслоившейся части плаценты в маточно-плацентарном кровообращении, а степень гипоксии определяется площадью отслойки плаценты.
Что хотят знать о плаценте врачи?
Во время беременности важно выявить признаки нарушения функции плаценты — плацентарной недостаточности. Для этого во время ультразвукового исследования изучают структуру плаценты, ее расположение в полости матки, толщину, соответствие размеров плода сроку беременности. Кроме того, изучается кровоток в плацентарных сосудах.
Как плацента прикрепляется к стенке матки?
После оплодотворения яйцеклетки плацента начинает расти в том месте, где эмбрион прикрепляется (имплантируется) к стенке матки. Имплантация не обязательно происходит в верхней части матки, поэтому плацента может прикрепляться в любом месте.
По мере роста плацента растягивается и утолщается, естественным образом перемещаясь вдоль стенки матки, чтобы найти идеальное положение. Возможные положения плаценты включают:
- Переднее, в месте матки, соответствующем локализации между желудком матери и плодом. Это не повод для беспокойства и не вредит ни малышу, ни маме.
- По задней стенке: плацента прикрепляется к задней стенке матки между позвоночником матери и ребенком. В этом положении мама чувствует движения малыша и его пинки особенно отчетливо.
- По дну: плацента прикрепляется к верхней стенке матки и располагается ближе либо к передней, либо к задней части матки. Это идеальное положение.
- Боковая: плацента прикрепляется к левой или правой стенке матки.
- Низкая локализация: плацента прикрепляется очень низко, частично или полностью перекрывая шейку матки. Это опасное положение, которое может привести к преждевременным родам, отслойке плаценты, необходимости в кесаревом сечении и другим аномалиям во время беременности, таким как кровотечение.
Плацента продолжает двигаться на протяжении всей беременности, поэтому плацента, прикрепившаяся по передней или задней стенке, может оказаться фундальной — то есть локализованной на дне матки к 38-й неделе.
Положение плаценты не будет заметно примерно до 10-й недели беременности, потому что именно тогда она формируется. Хотя на этом сроке сложно сказать определенно, где же она окажется к концу беременности — но самой будущей маме и ее врачу надо знать локализацию уже ко второму скринингу беременности. А если есть риск осложнений — например, цервикальной недостаточности шейки матки, невынашивания или многоплодной беременности — то определить положение плаценты надо раньше.
Анализы и диагностика
При постановке диагноза «прилежание плаценты» учитываются:
- Данные акушерско-гинекологического анамнеза и наличие факторов риска (перенесённые операции (кесарево сечение)/аборты, воспалительные процессы в придатках/матке, наличие дисфункции яичников, аномалий развития матки.
- Жалобы на наличие рецидивирующих безболезненных кровотечений из половых путей.
- Данные наружного акушерского исследования.
- Результаты влагалищного исследования беременной. Диагностическим признаком является наличие в области внутреннего зева плацентарной ткани.
- Данные инструментальных методов исследования — трансабдоминальное/трансвагинальное УЗИ. Позволяет установить факт предлежания плаценты и получить объективные данные о варианте предлежания плаценты, оценить площадь, структуру, размеры и степень зрелости плаценты, степень отслойки, наличие ретроплацентарных гематом, выявить «миграцию плаценты» и ее динамику.
Диагноз ставят начиная с 20 недель, поскольку низкое расположение/предлежания плаценты на ранних сроках беременности могут исчезать.
Лечение
Методы лечения прилежания плаценты определяются рядом факторов:
- Общим состоянием беременной/роженицы.
- Сроком беременности.
- Видом предлежания плаценты.
- Временем возникновения кровотечения и его интенсивностью.
- Степенью раскрытия шейки матки.
- Состоянием/положением плода.
- Состоянием гемостаза.
В первой половине беременности при отсутствии кровянистых выделений женщина может наблюдаться амбулаторно. При этом, она должна соблюдать строгий режим с исключением стрессовых ситуаций, физической нагрузки, половой жизни, поездок. При появлении кровянистых выделений беременная должна быть срочно госпитализирована в стационар.
При установлении диагноза предлежания плаценты во 2-й половине беременности, пациентка должна быть госпитализирована в стационар, особенно в случаях полного предлежания или наличия кровотечения. При удовлетворительного состоянии плода/беременной лечение в стационаре направлено на продление срока родов до 37-38 недель. С этой целью пациентке назначают:
- Строго дозированный постельный режим.
- Токолитическую терапию, направленную на расслабления гладких мышц матки, что способствует нормализации ее сокращений и является профилактикой преждевременных родов. С этой целью назначаются Магния сульфат , Но-шпа , β-адреномиметики ( Гинипрал , Тербуталин, Ритодрин), блокаторы рецепторов окситоцина (Атозибан), ингибиторы простагландинов ( Кеторолак , Индометацин ), блокаторы кальциевых каналов ( Нифедипин ) и др. с учетом побочных эффектов.
- При необходимости проводят лечение анемии/устранение дефицита железа путем назначения препаратов 2/3-валентного железа перорально ( Сульфат железа , Фумарат железа, Глюконат железа, Глицерил сульфат железа; Железа гидроксид полимальтозат, Железа протеин сукцинилат) или комбинированный препарат Сорбифер Дурулес , содержащий сульфат железа безводный и аскорбиновую кислоту).
- По показаниям — переливание свежезамороженной плазмы/эритроцитной массы.
- Одновременно показано назначение препаратов-дезагрегантов, препятствующих тромбообразованию ( Магникор , Клексан , Гепарин , Аспирин кардио , Тромбо АСС , Кардиомагнил , Пентоксифиллин , Клопедогрел), сосудоукрепляющих препаратов ( Аскорутин , Троксерутин , Квертин, Рутин , Токоферол и др.). При высоком риске преждевременных родов для профилактики у ребёнка синдрома дыхательных расстройств после родов показано назначение глюкокортикоидов ( Бетаметазон , Преднизолон , Дексаметазон , Метипред , Медрол ).
- Целесообразно назначение комплекса витаминов/минералов ( Витрум , Супрадин ), седативных средств ( Валериана , настойка Пустырника , Глицин ), транквилизаторов ( Седуксен ).
Повторные кровотечения, превышающие 200 мл, выраженная гипотония/анемия, одномоментное кровотечение с кровопотерей более 250 мл при полном предлежании плаценты являются показаниями к досрочному экстренному родоразрешению (кесарево сечение) независимо от жизнеспособности плода/срока гестации. При пролонгировании беременности до 36-38 недель родоразрешение проводится оптимальным методом. При полном предлежании плаценты/неполном предлежании, сочетающемся с отягощенным акушерско-гинекологическим анамнезом, тазовым/поперечным положением плода показано кесарево сечение. При неполном предлежании плаценты и наличии благоприятных условий (головное предлежание плода, зрелость шейки матки, хорошая родовая деятельность) возможны естественные роды.
Процедуры и операции
При кровотечениях из половых путей при наличии предлежания плаценты после 20 недели беременности: кесарево сечение; перевязка подвздошных, маточных, яичниковых артерий; компрессионные гемостатические швы; гистерэктомия.
Диета
Специальной диеты нет. Рекомендуется сбалансированное питание с повышенным содержанием белка. Однако при развитии осложнений в виде анемии показано назначение диеты с достаточным содержанием железа и фолатов.
Плацента по задней стенке: в чем особенности?
Такое описание в результатах УЗИ означает, что плацента прилегает к задней стенке матки, обращенной к позвоночнику. Такое расположение не несет никакого риска.
Факт!
Ученые Турецкой ассоциации гинекологов выяснили, что у женщин с первой группой крови плацента чаще располагается по передней стенке матки, а вторая группа крови почти в половине случаев вызывает локализацию плаценты по задней стенке.
Хотя это не доказано, эксперты говорят, что женщины с плацентой по задней стенке будут чувствовать шевеления ребенка раньше других, и в целом будут ощущать более сильные толчки и движения плода. Это потому, что плацента ничего не блокирует в передней части живота, где больше нервных тканей в подкожных слоях.
Место прикрепления
Определяется с помощью УЗИ. Как было сказано выше, при нормальной беременности плацента располагается в теле матки. Иногда при ультразвуковом исследовании в первой половине беременности обнаруживается, что плацента располагается в нижних отделах матки, доходя или даже перекрывая область внутреннего зева шейки матки. В дальнейшем, по мере прогрессирования беременности, плацента чаще всего смещается из нижних отделов матки верх. Однако, если после срока 32 недели плацента по-прежнему перекрывает область внутреннего зева, такое состояние называется * предлежанием плаценты**, что является серьезным осложнением беременности.
Предлежание плаценты может привести к развитию кровотечения, которое может возникать во II-III триместре беременности или во время родов.
Диагностика и симптомы частичного и полного предлежания плаценты
Предлежание можно диагностировать сразу после формирования плаценты. Выявить его можно на обычном УЗИ.
Иногда предлежание развивается бессимптомно. Иногда – появляются кровянистые мажущие выделения – при таких симптомах нужно немедленно обратиться к доктору.
Особенно опасны случаи появления сильного кровотечения – в таких ситуациях медлить нельзя. Чем быстрее женщина обратится за медицинской помощью, тем меньше риски.
Степень зрелости
Этот параметр, как говорят врачи, «ультразвуковой», то есть он зависит от плотности определяемых при ультразвуковом исследовании структур плаценты.
Различают четыре степени зрелости плаценты:
- В норме до 30 недель беременности должна определяться нулевая степень зрелости плаценты.
- Первая степень считается допустимой с 27 по 34 неделю.
- Вторая — с 34 по 39.
- Начиная с 37 недели может определяться третья степень зрелости плаценты.
В конце беременности наступает так называемое физиологическое старение плаценты, сопровождающееся уменьшением площади ее обменной поверхности, появлением участков отложения солей.
Профилактика
Профилактика предлежания плаценты включает:
- Раннее выявление/лечение генитальной патологии, гормональных нарушений и воспалительных заболеваний репродуктивных органов, а также экстрагенитальной патологии.
- Тщательную подготовку к беременности.
- Отказ от искусственных абортов.
Ведение беременных с предлежанием плаценты
Наблюдение и лечение беременной зависит от срока гестации, наличия или отсутствия кровотечений:
- при диагностированной неосложненном неполном (краевом) предлежании плаценты на 20 неделе пациентка в течение второго триместра наблюдается в женской консультации, регулярно осматривается врачом и проходит УЗИ, чтобы следить за состоянием плацентарного комплекса и развитием ребенка;
- в третьем триместре при отсутствии осложнений и возможности женщины быстро (в течение 5-10 минут) доехать до клиники в случае начала кровотечения также возможно амбулаторное ведение беременности;
- если женщина живет далеко от больницы, рекомендована госпитализация в стационар для обеспечения круглосуточного медицинского наблюдения;
- при наличии хотя бы одного эпизода кровотечения во время беременности показана госпитализация “на сохранение” и пребывание в стационаре до момента родов, чтобы предоставить женщине комплексное лечение.
При неосложненных случаях предлежания плаценты беременность сохраняют до 37-38 недели — такая тактика оптимальна, поскольку к этому времени ребенок уже полностью формируется, и удается избежать большинства проблем (незрелости, асфиксии, респираторного дистресс-синдрома новорожденных).
Немедикаментозное лечение
Если у женщины был один или несколько эпизодов кровотечения, ей назначается постельный режим в стационаре, чтобы свести к минимуму риски отслойки плаценты. До самых родов женщине исключают физические нагрузки, советуют оставаться максимально спокойной, а мужу и родственникам рекомендуют не давать пациентке дополнительных поводов для волнения. Беременной требуется полноценное и разнообразное питание по общепринятым стандартам, однако необходимо следить за калорийностью рациона, учитывая отсутствие физической активности.
Медикаментозное лечение
Для сохранения беременности до срока минимум 36 недель назначается ряд препаратов, которые предупреждают сокращения матки, улучшают состав крови женщины и укрепляют сосудистые стенки. План лечения подбирается индивидуально.
Основные препараты при предлежании плаценты
|
Глюкокортикоиды |
Дексаметазон |
Лекарство назначается в третьем триместре для ускорения развития легких у плода. С его помощью удается предотвратить проблемы с дыханием у новорожденного, даже если он рождается раньше срока |
|
Токолитики |
Партусистен, Бриканил, Фенотерол, Гексопреналин |
Препараты уменьшают сократимость мышечного слоя матки, снижают риск спонтанного кровотечения, помогают максимально пролонгировать беременность. Они используются при отсутствии осложнений предлежания плаценты и наличии условий для безопасного вынашивания ребенка |
|
Антиагреганты |
Дипиридамол, Пентоксифилин |
Медикаменты улучшают кровоток в плацентарных сосудах, способствуют доставке питательных компонентов к плоду, предупреждают развитие фетоплацентарной недостаточности и задержки внутриутробного развития (ЗВУР) |
|
Кровоостанавливающие |
Хлорид кальция, Викасол, свежезамороженная плазма |
Препараты используются при начавшемся маточном кровотечении для его максимально быстрой остановки. Они содержат факторы свертывания крови или способствуют активации собственных факторов в организме матери |
|
Седативные |
Седуксен, Валериана |
Лекарства уменьшают нервное напряжение матери, предупреждают преждевременные сокращения матки в ответ на действие эмоциональных стрессовых факторов |
|
Общеукрепляющие |
Поливитамины, комплексы микроэлементов |
Медикаменты улучшают обмен веществ беременной, восполняют дефицитные состояния, способствуют активному поступлению полезных молекул в организм плода для его роста и полноценного развития |
|
Препараты железа |
Феррум Лек, Тардиферон, Мальтофер |
Лекарства используются для коррекции железодефицитной анемии, которая возникает у женщин после кровотечений |
Классификация и стадии развития предлежания плаценты
По отношению плаценты к области внутреннего зева выделяют следующие виды предлежания плаценты.
- Полное предлежание плаценты (placenta praevia totalis) — плацента целиком закрывает внутренний зев шейки матки. При влагалищном исследовании плодные оболочки в пределах зева не выявляются. Если удается установить, что центр плаценты располагается на уровне внутреннего зева, ставят диагноз: “центральное предлежание плаценты” (placenta praevia centralis). Полное предлежание составляет от 20 до 44 % в структуре всех случаев неправильного расположения плаценты.
- Частичное предлежание плаценты (placenta praevia partialis) — плацента не полностью перекрывает внутренний зев шейки матки. При влагалищном исследовании рядом с дольками плаценты определяются плодные оболочки. Этот вид предлежания возникает в 31 % наблюдений.
- Краевое (боковое) предлежание плаценты (placenta praevia marginalis) — край плаценты расположен рядом с внутренним зевом шейки матки, но не перекрывает его. При влагалищном исследовании в пределах зева выявляются только плодные оболочки.
Разделение на заднее и переднее предлежание плаценты в классификации не используется. Расположение плаценты само по себе может быть задним или передним, но оно может быть никак не связано с предлежанием.
Окончательное представление о расположении плаценты можно получить только в III триместре беременности, так как изменение формы и положения матки оказывает влияние на локализацию плаценты . По мере развития беременности строение нижнего сегмента матки изменяется, а рост плаценты происходит вверх, к дну матки, где кровоснабжение лучше. Этот процесс получил название “миграция плаценты”, и завершается он обычно к 33-34 неделям беременности. Миграция чаще происходит, если плацента расположена по передней стенке, менее благоприятный прогноз при расположении по задней стенке.
Последствия и осложнения
Низкое предлежание плаценты может вызывать ряд негативных последствий и осложнений в виде:
- Рецидивирующего кровотечения из половых органов.
- Самопроизвольного прерывания беременности.
- Преждевременных родов.
- Плацентарной недостаточности (с гипоксией плода).
- Анемии.
- Гипотонии.
- Неправильному (поперечное, тазовому) положению плода.
- Аномалии родовой деятельности.
Вопрос-ответ
Что такое предлежание плаценты и какие его виды существуют?
Предлежание плаценты — это состояние, при котором плацента располагается в нижней части матки и может перекрывать шейку матки. Существует несколько видов предлежания: краевое (плацента касается шейки матки), низкое (плацента находится близко к шейке, но не касается её) и полное (плацента полностью перекрывает шейку матки).
Каковы основные симптомы предлежания плаценты?
Основные симптомы предлежания плаценты могут включать безболезненные кровотечения из влагалища, особенно во втором и третьем триместрах беременности. В некоторых случаях могут возникать боли внизу живота. Однако у некоторых женщин предлежание может протекать бессимптомно, и диагноз устанавливается только при ультразвуковом исследовании.
Как лечится предлежание плаценты и какие меры предосторожности следует соблюдать?
Лечение предлежания плаценты зависит от его типа и степени тяжести. В большинстве случаев, если предлежание не вызывает осложнений, рекомендуется наблюдение и ограничение физической активности. В случае полного предлежания может потребоваться кесарево сечение для безопасного родоразрешения. Важно избегать физических нагрузок и половых контактов, а также регулярно проходить обследования у врача.
Советы
СОВЕТ №1
Обязательно проходите регулярные ультразвуковые исследования. Это поможет врачу контролировать положение плаценты и выявить возможные изменения на ранних стадиях, что важно для здоровья как матери, так и ребенка.
СОВЕТ №2
Избегайте физической активности и тяжелых нагрузок, особенно в третьем триместре. Это поможет снизить риск осложнений, связанных с предлежанием плаценты, и обеспечит безопасность для вас и вашего малыша.
СОВЕТ №3
Обсудите с врачом план родов заранее. Если у вас диагностировано полное предлежание плаценты, может потребоваться плановое кесарево сечение, и важно знать, чего ожидать.
СОВЕТ №4
Следите за своим состоянием и обращайте внимание на любые необычные симптомы, такие как кровотечения или сильные боли в животе. При их появлении немедленно обращайтесь к врачу для получения квалифицированной помощи.








