Четыре или шесть недель? Точный срок беременности
4 недели беременности от зачатия (или от овуляции) составляют шесть акушерских недель гестации. Врачи считают беременность по неделям иначе, чем кажется логичным немедикам — не от зачатия, а от начала предшествовавших ему месячных, то есть с первого дня последней менструации. Причина в том, что так считать получается легче: в отличие от зачатия день начала месячного цикла помнят почти все. А вот зачатие может произойти раньше или позже, чем рассчитывает сама женщина, даже если половой контакт был один.
Хотя такой метод тоже не совершенен: часто к моменту первого скрининга выявляется необходимость коррекции срока беременности. Ее проводят по определению соответствия размеров ребенка неделям беременности.
Если вы точно знаете дату зачатия, то можно ориентироваться на нее. Однако в профессионально составленных календарях пишут про акушерские недели. Значит, к «своему» сроку надо добавить еще две, и 4 недели беременности от зачатия превратятся у врача в шесть.
На четвертой неделе беременности УЗИ матки и эмбриона становится важным этапом для будущих родителей. Врачи отмечают, что на этом сроке уже можно увидеть зародыш и его сердцебиение, что является значимым показателем нормального развития. Симптомы, такие как легкая тошнота, усталость и изменения в настроении, могут указывать на гормональные изменения в организме женщины. Специалисты рекомендуют проводить анализы на уровень ХГЧ, чтобы убедиться в правильном прогрессировании беременности. УЗИ на этом этапе помогает выявить возможные отклонения и дает возможность своевременно принять меры. Врачи подчеркивают, что регулярные обследования и внимание к своему состоянию играют ключевую роль в успешном ведении беременности.

Обследования
Подтвердить беременность можно несколькими способами:
- Аптечный тест. Он уже может показать две полоски, но более точный результат получается ближе к концу четвертой недели.
- Отсутствие месячных. Если в расчетную дату месячные не начались, стоит подождать еще один-два дня, чтобы убедиться в задержке.
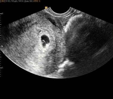
- УЗИ. При исследовании уже можно увидеть зародыш (точку в полости матки).
- Анализ. Для достоверного определения беременности можно сдать кровь на ХГЧ. Концентрация хорионического гонадотропина человека (ХГЧ) в период беременности увеличивается. Анализ крови поможет подтвердить успешное зачатие.
Если беременность получила подтверждение, можно идти в женскую консультацию на прием к гинекологу.
УЗИ плода. На четвертой неделе беременности показаниями к ультразвуковому исследованию могут служить:
- подозрение на внематочную беременность в анамнезе женщины;
- острая боль внизу живота или в боку;
- кровянистые выделения;
- возможность многоплодной беременности.
УЗ-исследование на раннем сроке может точно показать место крепления яйцеклетки и вовремя распознать внематочную беременность. Если пропустить симптомы, растущее яйцо может разорвать маточную трубу, что очень опасно. При нормальном течении беременности УЗИ не нужно. К концу четвертой недели можно определить только факт крепления плодного яйца на стенке матки. Эмбрион еще слишком мал, и провести диагностику развития ребенка не получится. Размер малыша на четвертой неделе около 1 мм и вес 0,5 г.
Лабораторная диагностика. Врач-гинеколог на первичном приеме соберет необходимые данные, проведет внешний осмотр, назначит ряд анализов. В период до 12 недель назначают:
- общий анализ мочи;
- общий и биохимический анализ крови;
- анализ крови на глюкозу;
- исследование на ВИЧ и вирусные гепатиты В и С;
- анализ на ХГЧ;
- исследование свертываемости крови;
- мазки на флору и цитологию;
- исследование на TORCH и инфекции.
Полный список необходимых исследований выдает врач после постановки на учет.
Как развивается и выглядит эмбрион на 4 неделе
Зародыш сейчас напоминает маковое зернышко: в нем не больше 1 мм и 0,5 грамм. На снимке УЗИ можно различить лишь небольшое темное пятнышко. Но несмотря на скромные размеры в нем уже заложены основы для развития всех органов и систем.
На четвертой неделе формируются первичные кровеносные сосуды, и ребенок сможет получать кислород. Закладывается амнион – одна из зародышевых оболочек, наполненная жидкостью, из которой позже образуется плодный пузырь.
На 4 неделе беременности многие женщины начинают активно интересоваться состоянием своего здоровья и развитием эмбриона. УЗИ на этом сроке, как правило, не является обязательным, но некоторые врачи могут рекомендовать его для подтверждения беременности и исключения внематочной. Женщины отмечают, что на этом этапе могут появляться первые симптомы: легкие тянущие боли внизу живота, увеличение чувствительности груди и небольшие изменения в настроении.
Анализы на ХГЧ становятся важным этапом, так как уровень этого гормона помогает определить, правильно ли развивается беременность. Многие будущие мамы делятся своими переживаниями и радостью от первых признаков жизни внутри себя. Важно помнить, что каждая беременность уникальна, и лучше всего доверять своему врачу, который сможет дать рекомендации, исходя из индивидуальных особенностей.

Боль в животе и в пояснице на 4 неделе
Боли невысокой интенсивности внизу живота и в пояснице, без аномальных выделений и повышения температуры тела – это норма на 4 неделе беременности. Такие ощущения обусловлены гормональной перестройкой организма, они быстро и без последствий проходят. Интенсивные боли, сопровождающиеся кровянистыми выделениями, могут быть признаками следующих патологий:
- цистит, пиелонефрит – присоединяется нарушение мочеиспускания и гипертермия;
- Запоры, метеоризм;
- Внематочная беременность – ощущения чаще возникают с одной стороны;
- Угроза прерывания беременности или замерший эмбрион – сопровождается кровянистыми или сукровичными влагалищными выделениями;
- Хирургические патологии (аппендицит).
Появление подобных симптомов – повод для немедленного обращения к врачу.
Температура и простуда на 4 неделе
Небольшое повышение базальной и общей температуры до +37,3°C – норма на этом сроке беременности, если она не сопровождается признаками вирусной инфекции. Причинами такого симптома может быть гормональная перестройка организма, ускорение обмена веществ, снижение иммунного ответа, как профилактика отторжения эмбриона.
На фоне снижения иммунитета у беременной женщины на 4 неделе может начаться инфекционное заболевание – ОРВИ, грипп, цистит, пиелонефрит. Тогда температура тела поднимается до +38°C-+39°C. В таком случае возникает опасность для правильного развития эмбриона, риск выкидыша.
Профилактика простудных заболеваний во время беременности:
- Избегать места скопления большого количества людей;
- Не контактировать с больными инфекционными заболеваниями;
- Чаще проветривать помещения;
- Соблюдать режим прогулок на свежем воздухе, режим сна и отдыха;
- Правильно питаться, употребляя витамины в виде свежих овощей и фруктов.
Не стоит заниматься самолечением простудных заболеваний. Только врач может подобрать нужные лекарства с учетом беременности.
Самая большая ошибка при самолечении во время беременности – приём антибиотиков. Существует ограниченное количество антибактериальных препаратов, пригодных для лечения беременных женщин, и 4 неделя – не лучшее время для их использования. В период формирования важнейших органов плода антибиотики могут проявить тератогенное действие, вызвать появление уродств и патологий развития у будущего ребёнка.
Ощущения будущей мамы
Новое положение женщины еще незаметно для окружающих, а зачастую и для нее самой. Признаки беременности на 4 неделе схожи с симптомами предменструального синдрома:
- болит грудь, повышается чувствительность сосков;
- возникают воспалительные высыпания на коже;
- резкие перемены настроения;
- внезапная сонливость и усталость.
Если продолжительность цикла – менее 26 дней, то на четвертой неделе самочувствие может ухудшиться: возникает токсикоз, частые позывы к мочеиспусканию, метеоризм и тяжесть в животе. Некоторые отмечают изменения вкусовых предпочтений и обострение обоняния.
Тянущие боли внизу живота и в пояснице на 4 неделе беременности обычно связаны с прикреплением зародыша к стенке матки. На фоне этого может возникать имплантационное кровотечение – скудные коричневые выделения. Женщины часто принимают подобную «мазню» за начало менструации.
Узкие вопросы беременности
4 неделя беременности – время очень важное, ваш малыш еще очень мал и беззащитен, его не защищает плацента и любая инфекция или простая простуда могут иметь катастрофические последствия, вплоть до прерывания беременности.
Температура
Обратите внимание, что ваша привычная температура может несколько измениться, 37 градусов при беременности может стать нормой, виною всему постоянные перестройки в вашем организме и дополнительная нагрузка на кровеносную систему, которая сейчас работает за двоих.
Важно! Но будьте внимательны, появление насморка, першения в горле, кашля, ломоты в суставах указывают на простудное или вирусное заболевание, срочно необходимо обратиться к специалисту!
Самостоятельно принимать лекарственные препараты нельзя. Существует огромный список запрещенных препаратов для первого триместра беременности, их прием может вызвать патологии в развитии малыша или даже выкидыш.
Секс
В силу того, что у вас тянет живот на 4 неделе беременности и не покидает чувство усталости и сонливости, у вас может несколько снизиться сексуальное влечение.
Не в пользу любовных утех выступает и ранний токсикоз. Не стоит расстраиваться, через несколько недель ваш организм привыкнет к новой роли, тошнота пройдет и секс снова войдет в ваши планы.
Алкоголь
Спиртные напитки во время беременности, как и другие вредные привычки, находятся в зоне табу.
- Во-первых, алкоголь негативно влияет на ваш организм, попадая в вашу кровь, он отравляет и малыша. А так как на данном этапе идет закладка внутренних органов, то предсказать, как этанол повлияет на эмбрион, никто не сможет;
- Кроме того, алкоголь может спровоцировать выкидыш.
Питание
Вы должны помнить, что во время беременности вы кушаете за двоих. Но речь не идет об увлечениях порций, пересмотреть необходимо качество еды.
- В вашем рационе не должно быть вредных продуктов и фастфудов, никаких консервантов, пустых калорий и сладостей;
- Каждый день вам нужно употреблять нежирные сорта мяса и рыбы, молочные продукты, зелень и овощи, бобовые, каши;
- Куда бы вы ни направлялись, берите с собою легкий перекус – яблоко, орешки, йогурт;
- И помните, каждый день вы должны выпивать не менее 1,5 литров жидкости, а это вода без газа, зеленый чай, свежевыжатые соки. От кофе и крепкого черного чая лучше отказаться.
Гормоны на 4 неделе
Хорион (оболочка эмбриона) продуцирует ХГЧ – хорионический гонадотропин. Он предотвращает отторжение эмбриона, представляющего симбиоз своих и чужих для организма клеток, продуцирует стероиды, определяя пол будущего ребёнка, поддерживает работу жёлтого тела. Уровень ХГЧ ежедневно увеличивается до 7-8 недель беременности, затем он начинает снижаться.
До образования плаценты желтое тело продуцирует прогестерон, играющий важную роль в нормальном течении беременности.
Функции прогестерона:
- Обеспечение роста матки;
- Снижение частоты и интенсивности маточных сокращений, профилактика выкидыша;
- Рост подкожной клетчатки для питания эмбриона;
- Профилактика отторжения чужеродного организма;
- Развитие отдельных тканей плода;
- Подготовка молочных желёз к грудному вскармливанию.
Среднее количество прогестерона в крови беременной женщины на 4 неделе – 18 нМоль/л. Перед исследованием не рекомендуются физические и психические нагрузки, приём гормонов.
Что происходит с мамой в первые недели беременности?
С самых первых недель беременности в организме женщины происходят серьезные изменения, поэтому ему нужна помощь. В первые недели беременности женщина должна следить за своим здоровьем, больше находиться на свежем воздухе, гулять.
Уже с первых недель беременности женщина может почувствовать отвращение к запахам, тошноту по утрам. Но это только самые первые признаки беременности, далее женщина будет чувствовать себя хорошо. Если женщину тошнит по утрам, можно выпить мятный чай, съесть зеленые яблоки или ржаные сухарики.
Признаками беременности на ранних сроках могут быть увеличение объема груди женщины, повышенная чувствительность. Поэтому в этот период рекомендуется носить удобное нижнее белье, которое не стягивает грудь.
В первые недели беременности необходимо пройти стандартное обследование у гинеколога , после чего врач сможет дать индивидуальные рекомендации на первых неделях беременности.
Особенности питания
Правильное питание во время беременности обеспечивает маму и малыша всеми необходимыми микроэлементами и витаминами. Сбалансированное меню с учетом затрат на вынашивание малыша поможет женщине сохранить фигуру и дать все необходимое новому организму. На четвертой неделе беременности у эмбриона закладываются внутренние органы и системы, он начинает получать от мамы все жизненно необходимые вещества. Теперь питание женщины — это забота о малыше. В рационе должны быть продукты с высоким содержанием важных микроэлементов и витаминов:
- Железо. Для поддержания гемоглобина на нормальном уровне необходимо достаточное количество этого элемента. Гемоглобин переносит кислород к тканям, снижение его концентрации в крови приводит к гипоксии плода (кислородному голоданию). Железо содержится в красном мясе, рыбе, яйцах (желтке).
- Белок. Он необходим для роста и развития плода. Белок является строительным материалом клеток эмбриона. Он содержится в рыбе, мясе, орехах, семечках.
- Жиры. Эти вещества также участвуют в строительстве клеток и являются источником энергии. В питании важно сочетать животные и растительные жиры.
- Кальций. Во время беременности в организме женщины идет изменение костной ткани со снижением ее минеральной плотности. Для компенсации этих потерь нужно употреблять достаточное количество кальция. Также надо учесть формирование скелета малыша. Кальций можно получить из молочных продуктов, миндаля, листовой зелени.
- Сложные углеводы. К сложным углеводам относятся цельнозерновые крупы, бобовые, овощи. Углеводы сохраняют энергетический баланс. Если организму недостаточно энергии, в «топку» идут белки, необходимые для развития плода.
- Пищевые волокна. Для нормализации перистальтики кишечника нужна клетчатка. Употребление достаточного количества овощей, зелени и фруктов обеспечит нормальную работу ЖКТ.
- Вода. Важно выпивать достаточное количество чистой воды.
- Витамины. Сейчас существует большой выбор готовых витаминных комплексов для беременных. Подобрать подходящий поможет ваш врач-гинеколог.
Сохраняя правильные пищевые привычки, на время вынашивания ребенка стоит исключить или ограничить некоторые продукты:
- Алкоголь. Любые спиртные напитки необходимо исключить на весь срок беременности. Особенно это важно в первом триместре, когда идет активное развитие эмбриона, формируются нервная система и мозг.
- Консервы. Для длительного хранения используется большое количество консервантов, стабилизаторов и других продуктов химического производства.
- Соль. Желательно максимально сократить употребление соленой пищи. Соль задерживает воду, дает дополнительную нагрузку на почки и приводит к отекам.
Что нужно обсудить с врачом
Если ранее у вас было самопроизвольное или медицинское прерывание беременности, обязательно проконсультируйтесь с гинекологом о необходимости поддерживающей гормональной терапии. Частое осложнение на 4 неделе беременности – угроза прерывания, которой можно избежать, если своевременно начать прием препаратов прогестерона.
Возможные проблемы
Четвертая неделя – первая критическая точка беременности: от того, насколько успешно произойдет имплантация эмбриона, зависит дальнейшее состояние женщины. В этот период может возникать ряд опасных состояний.
Самопроизвольное прерывание
Если кровянистые выделения во время менструации непривычно обильны, а женщина жалуется на то, что сильно тянет низ живота, возможно, речь идет о выкидыше. Оплодотворение произошло чуть раньше 4 недели, но зародыш не смог прикрепиться к стенке матки. Причиной могут быть инфекционные заболевания, тяжелая физическая или эмоциональная нагрузка, патологии матки или плода. Зачастую такое кровотечение на этом сроке воспринимается как обычные месячные.
Внематочная беременность
Если эмбрион остался в фаллопиевой трубе или яичниках, то сохранить гестацию невозможно. Патология чаще возникает на фоне воспалительных процессов и при спайках в маточных трубах, а также при аномальном строении половых органов.
Инфекционные заболевания
Первичное заражение TORCH-инфекциями во время беременности нарушает развитие плода и приводит к выкидышу. Избежать этого можно, если заранее поставить необходимые прививки, не есть плохо прожаренное мясо, не контактировать с кошками, не посещать мест большого скопления людей.
Когда обращаться к врачу?
Визит к врачу при нормальном самочувствии пока ещё можно отложить. При положительном результате тестирования и присоединении тянущих болей, признаков раннего токсикоза, нетипичных выделений следует проконсультироваться с врачом.
Возможные действия гинеколога при хорошем самочувствии женщины на 4 акушерском месяце:
- Сбор анамнеза;
- Визуальный осмотр, осмотр на гинекологическом кресле;
- Назначение витаминно-минеральных комплексов, содержащих среди прочих компонентов фолиевую кислоту.
Признаки заболеваний, наличие в анамнезе выкидышей требует специфического лечения. Женщины, имеющие проблемы с зачатием, и забеременевшие при помощи ЭКО или ИКСИ, находятся под контролем врача с первых дней беременности.
Посмотрите видео, которое расскажет о том, зачем нужно делать генетический анализ, что происходит в женском организме, о наследственных заболеваниях – муковисцидозе, гемофилии, синдроме Дауна и скрининге хромосомных патологий:
Что происходит на этом сроке?
Увы, по статистике, 4 недели беременности от зачатия — тот момент, когда многие будущие мамы начинают испытывать симптомы утреннего недомогания или токсикоза. Эксперты сегодня говорят, что называть его «утренний токсикоз» неверно: тошнота может настигать в любое время суток, даже ночью. Хотя по утрам она обычно сильнее всего.
К этому признаку беременности добавляются сонливость и слабость, часто ощущается изменение молочных желез — они набухают, становятся более чувствительными, даже болезненными.
Один из ярких симптомов беременности на данном сроке — отсутствие менструаций в течение уже двух недель. Если влагалищные выделения сейчас становятся розовыми, коричневыми или, тем более, алыми, надо срочно обратиться к врачу: это признак возможной угрозы беременности или иных патологий — инфекций, внематочной имплантации эмбриона.
Методы подтверждения беременности
К концу 4 акушерской недели уже имеется возможность подтвердить или опровергнуть беременность.
Применяемые методы:
- Тест-полоски для определения беременности – могут не показать положительный результат, хотя беременность уже имеется из-за низкой концентрации ХГЧ в моче женщины, вполне возможно, что через 2-4 дня результат изменится;
- Анализ крови на ХГЧ – на этом сроке беременности даёт 100% результат, так как наличие в крови хорионического гонадотропина свидетельствует о состоявшемся оплодотворении;
- УЗИ – в конце 4 акушерской недели на высокоточном оборудовании можно увидеть утолщенный эндометрий и черную точку на нём – прикрепившийся эмбрион.
УЗИ на 4 неделе по эмбриональному методу проводят при помощи трансвагинального датчика. На этом сроке имеющаяся беременность хорошо различима.
Что можно увидеть:
- Расширенные кровеносные сосуды эндометрия, дающие эмбриону возможность питаться;
- Плодный мешок в виде черного кружка диаметром в несколько миллиметров;
- Желточный мешок в виде маленького колечка диаметром 2-3 мм.
Сам эмбрион будет возможно различить на желточном мешке ещё через неделю. Ультразвуковое исследование на этом сроке беременности проводят исключительно по медицинским показаниям – исключение пузырного заноса, внематочной беременности.
Триместры:
Вторая неделя
В середине цикла яйцеклетка полностью созревает и покидает яичник. Она входит в брюшную полость. Данный процесс называется овуляцией. При регулярном цикле продолжительностью 30 дней овуляция наступает на пятнадцатый. Самостоятельно двигаться яйцеклетка не способна. Когда она покидает фолликул, бахромки маточной трубы обеспечивают ее проникновение внутрь. Маточные трубы характеризуются продольной складчатостью, они заполнены слизью. Мышечные движения труб имеют волнообразный характер, что при существенном множестве ресничек создает оптимальные условия для транспортировки яйцеклетки.
Посредством труб яйцеклетка попадает в наиболее широкую их часть, которая называется ампулярной. Именно в этом месте и происходит оплодотворение. Если встречи со сперматозоидом не произошло, яйцеклетка погибает, а женский организм получает соответствующий сигнал о необходимости запуска нового цикла. Происходит отторжение слизистой оболочки, которая была создана маткой. Проявлением такого отторжения являются кровянистые выделения, которые называются менструацией.
Срок ожидания оплодотворения яйцеклеткой короток. В среднем он занимает не более суток. Оплодотворение вероятно в день овуляции и максимум на следующий. У сперматозоидов более длительный срок жизни, в среднем он составляет три-пять дней, в некоторых случаях – семь. Соответственно, если сперматозоид до овуляции попал в женские половые пути, существует вероятность, что он сможет дождаться появления яйцеклетки.
Когда яйцеклетка находится в состоянии ожидания оплодотворения, происходит выделение определенных веществ, которые предназначены для ее обнаружения. Если сперматозоиды находят яйцеклетку, они начинают выделять специальные ферменты, способные разрыхлить ее оболочку. Как только один из сперматозоидов проникает внутрь яйцеклетки, другие этого уже сделать не могут вследствие восстановления плотности ее оболочки. Таким образом, одна яйцеклетка может быть оплодотворена только одним сперматозоидом.
После оплодотворения происходит слияние хромосомных наборов родителей – по 23 хромосомы от каждого. В результате из двух различных клеток образуется одна, которая носит название зигота. Пол будущего ребенка зависит от того, какая из хромосом, Х или Y, была у сперматозоида. Яйцеклетки содержат только Х хромосомы. При сочетании ХХ на свет появляются девочки. Если же сперматозоид содержат Y хромосому, т. е. при сочетании ХY, рождаются мальчики. Как только в организме образовывается зигота, в нем происходит запуск механизма, направленного на сохранение беременности. Происходят изменения гормонального фона, биохимических реакций, иммунных механизмов, поступления нервных сигналов. Женский организм создает все необходимые условия для безопасного развития плода.
Изменения в организме женщины
К концу этой недели у тебя должны были начаться месячные. Задержка сбивает тебя с толку, ты начинаешь что-то подозревать. А тут еще и подташнивает немного, и температура почему-то поднимается без видимых причин. Да и раздражительная стала… Ты все еще не купила тест на беременность? Тогда сейчас – самое время!
Ваше самочувствие
Вполне возможен вариант, когда на 4-й неделе беременности явных изменений в самочувствии еще не будет. А могут появиться и такие симптомы, как:
- Нагрубание молочных желез;
- Болезненность сосков;
- Тошнота;
- Слабость;
- Сонливость;
- Повышенная утомляемость;
- Раздражительность;
- Учащенное мочеиспускание;
- Незначительные боли в нижней части живота;
- Изменение аппетита или вкусовых пристрастий.
Все эти симптомы легко можно спутать с приближающимися месячными, хотя они могут быть признаками раннего токсикоза.
На 4-й неделе нередко наблюдаются белесые или прозрачные влагалищные выделения — это нормальное явление. Если же они имеют нездоровый (серо-зеленый, желтоватый) цвет и неприятный запах или творожистую консистенцию, такие признаки говорят о развитии генитального инфекционного заболевания, поэтому вам нужно обязательно показаться врачу. Могут появиться и незначительные кровянистые выделения.
Тревожные симптомы
Во время беременности может возникнуть ряд проблем с адаптацией зародыша в утробе матери, которые приводят к отторжению плода от стенок матки. На ранних сроках также важно не пропустить внематочную беременность.
Если беременность протекает нормально, то менструация уже не начнется. В случае, когда зигота не имплантировалась в эндометрий (слизистую матки) по причине дефектов зачатия, гормональных сбоев или осложнений, месячные придут. В таких случаях не говорят о выкидыше. В большинстве случаев факт зачатия остается незамеченным. Кровотечение становится причиной для тревоги, если беременность подтверждена.
Выделения. В норме выделения во время беременности должны оставаться светлыми, однородными, без запаха (допускается слабый кисловатый запах), как и до зачатия. Может измениться только их количество. Если выделения имеют резкий неприятный запах, становятся обильными, меняют цвет и консистенцию, нужно обратиться к врачу. Причиной таких изменений могут быть половые инфекции.
Коричневые выделения. Скудные коричневые выделения могут быть результатом крепления яйца в эндометрий. Из слизистых выделений организм создает особую защитную пробку. Она закрывает цервикальный канал матки и служит защитой плода от инфекций и бактерий. Пробка в норме выходит перед родами.
Кровянистые выделения. Кровянистые выделения при подтвержденной беременности всегда тревожный признак. Выделения красного или алого цвета могут свидетельствовать о кровотечении. Причинами этого могут стать угроза выкидыша, проблемы с плацентой, травмирование слизистой. Продолжительные скудные выделения, сопровождающиеся болью, могут быть признаком внематочной беременности.
«Месячные». Если беременность установлена, менструации быть не может. Кровяные выделения — признак осложнений:
- Организм отторгает нежизнеспособный плод.
- Гормональный сбой. Недостаток прогестерона или высокий уровень андрогенов.
- Замершая беременность. Инфекционные заболевания на первых неделях могут провоцировать гибель плода.
Боли в животе. На четвертой неделе беременности боли в животе могут быть связаны с перестройкой женского организма. Матка начинает расти и растягивать связки, это провоцирует тянущие боли внизу живота. Сбой в работе пищеварительной системы может вызывать вздутие, запоры и дискомфорт. Такая боль не является патологией. Нарастающая острая боль — возможный симптом угрозы выкидыша, внематочной или замершей беременности.
Температура. В первые месяцы беременности у женщины может немного повышаться температура. Это объясняется реакцией организма на происходящие изменения и повышенную выработку гормонов. Температура до 38 градусов и выше может означать простуду или вирусное заболевание. Самолечение при беременности недопустимо. В случае необходимости врач подберет разрешенные медикаменты, которые не навредят малышу.
Что развивается на четвертой неделе беременности
В начале этой недели плод начинает превращаться в эмбрион. Внешне он напоминает плоский, трехслойный диск, каждый из слоев которого станет основой для формирования органов и систем ребенка.
Так, из внутреннего слоя появляются поджелудочная железа, пищеварительная система, легкие, печень. Средний слой формирует сердце, кровеносные сосуды, почки, мышцы, скелет. Из внешнего слоя развиваются глазные хрусталики, волосы, зубная эмаль, нервная система, голова, кожа.
Размер плода на 4 неделе беременности равен 2 мм. Несмотря на такие микроскопические размеры, эмбрион очень бурно развивается. Появляются внезародышевые органы (желточный мешок, амнион, хорион), которые отвечают за обеспечение плода дыханием, питанием, оказывают ему биохимическую поддержку и защищают ребенка до тех пор, пока из амниона не сформируется плодный пузырь, а из хориона плацента.

Советы специалистов беременной женщине
На ранних сроках беременности постарайтесь изменить режим питания. Лучше есть часто, но понемногу (5-6 раз в день). Такой режим питания позволит избежать переполнения желудка и поддержит постоянный уровень сахара в крови.
Для здоровья будущего малыша очень важно отказаться от вредных привычек, не употреблять алкоголь и отказаться от курения. Даже пассивное курение навредит малышу на первых неделях беременности. Поэтому нужно попросить своих домочадцев курить не в квартире.
Не следует принимать лекарства без назначения врача. Эти рекомендации актуальны до конца беременности.
На ранних сроках беременности очень важно следить за своим здоровьем.
Нужно стараться реже бывать в людных местах, чтобы не заразиться инфекционными заболеваниями.
Вот несколько советов будущей маме.
Первые недели беременности – это самый важный период в жизни, как малыша, так и будущей мамы. На первых неделях беременности формируется организм будущего ребенка.
Образ жизни
Специальных рекомендаций для будущих мам по большому счету нет. Это общие советы для всех, кто хочет прожить здоровую долгую жизнь. Правильно питайтесь, соблюдайте режим сна и отдыха, занимайтесь любой удобной и приятной для вас физической активностью.
Принципы питания
- Как можно больше разнообразных фруктов и ягод, овощей и зелени, круп и бобовых. Это прекрасный источник витаминов и микроэлементов, а также хорошая профилактика запоров, которыми страдает до 40% беременных.
- Мясо выбирайте нежирное, а рыбу напротив: скумбрия и лосось, например, богаты незаменимыми жирными кислотами и омега 3.
- Варку на пару и в воде, а также тушение и запекание предпочитайте всем другим видам кулинарной обработки пищи.
- Замечательный источник кальция и белка – это сыр, творог и кисломолочные продукты.
- Откажитесь от фастфуда, полуфабрикатов, промышленной выпечки, газированных напитков. Лишняя нагрузка на печень в период беременности совсем ни к чему.
Двигательная активность
Беременным женщинам на 4 неделе можно и нужно заниматься спортом, поскольку физкультура укрепляет мышцы тазового дна, что облегчает роды. Помогает не набрать лишних килограммов, предупреждает появление растяжек на коже, избавляет от проблемы запоров. Но есть и противопоказания: беременность в результате ЭКО, угроза выкидыша и другие осложнения при вынашивании.
Если ранее вы были далеки от спорта, то на четвертой неделе можно начать посещать бассейн и специальные курсы йоги для женщин в положении. Если иное не рекомендовано лечащим врачом. Пешие прогулки – еще один прекрасный способ поддерживать себя в тонусе.
Состояние матки и эндометрия
Размеры матки на 4 неделе беременности практически не увеличиваются, она по-прежнему находится в границах малого таза. Меняется её структура – матка становится набухшей, ткани в районе перешейка размягчаются, что придаёт ему небольшую подвижность. И матка, и её шейка из-за притока крови становятся синюшного цвета. В цервикальном канале начинает формироваться слизистая пробка, защищающая плод от бактериальной инфекции извне.
Эндометрий утолщается, изменяется его структура – прорастают новые кровеносные сосуды, увеличивается число железистых клеток, впоследствии преобразующихся в плаценту. На данном этапе такие изменения обеспечивают жизнеспособность эмбриона, его дыхание и питание. Из-за большого количества кровеносных сосудов эндометрий становится синюшного цвета. Его толщина на 4 неделе, отсчитываемой по эмбриональному методу, составляет около 2 см.
Замершая беременность на 4 неделе
Основными причинами развития замерзшей беременности являются:
- Постоянное нервное и физическое перенапряжение.
- Частые аборты.
- Возникновения резус конфликта, когда резус-фактор крови матери и ребенка не совпадают.
- Длительное пребывание беременной женщины на солнце.
- Курение, злоупотребление алкоголем.
- Возникновение во время беременности острых респираторных вирусных инфекций.
- Заболевания половой системы, имеющие бактериальную или вирусную природу (герпес, хламидиоз, гонорея и ряд других).
- Гормональные нарушения в организме женщины, причиной которых является употребление некоторых лекарственных средств или развитие какого-либо заболевания.
- Развитие у эмбриона генетических нарушений, несовместимых с жизнью.
Самостоятельно распознать замерзшую беременность довольно сложно. Поэтому при появлении таких симптомов, как беспричинное увеличение температуры, сильные боли в пояснице или внизу живота, исчезновение токсикоза, появление сукровичных выделений женщина должна немедленно обратиться за помощью к врачу, который проведет обследование и определит причину появления таких симптомов.
Вопрос-ответ
Какие симптомы могут указывать на беременность на 4 неделе?
На 4 неделе беременности женщины могут испытывать такие симптомы, как задержка менструации, легкие боли внизу живота, изменения в груди (чувствительность или увеличение), а также утреннюю тошноту. Однако у каждой женщины симптомы могут проявляться по-разному.
Как часто нужно делать УЗИ на ранних сроках беременности?
На ранних сроках беременности, включая 4 неделю, УЗИ обычно проводится только в случае необходимости, например, при наличии осложнений или для подтверждения беременности. В большинстве случаев первое плановое УЗИ назначается на сроке 11-14 недель.
Что показывает УЗИ на 4 неделе беременности?
На УЗИ на 4 неделе беременности можно увидеть зародыш, а также проверить состояние матки. Однако на этом сроке эмбрион может быть еще слишком мал для четкого визуального восприятия, и часто УЗИ используется для подтверждения наличия беременности и исключения внематочной беременности.
Советы
СОВЕТ №1
Перед проведением УЗИ на 4 неделе беременности обязательно проконсультируйтесь с вашим врачом. Он поможет вам понять, какие именно исследования необходимы и как правильно подготовиться к процедуре.
СОВЕТ №2
Обратите внимание на симптомы, которые могут указывать на нормальное развитие беременности, такие как легкие тянущие боли внизу живота или небольшие изменения в груди. Однако, если вы заметите сильные боли или кровянистые выделения, немедленно обратитесь к врачу.
СОВЕТ №3
Записывайте все свои вопросы и переживания перед визитом к врачу. Это поможет вам не забыть важные моменты и получить полную информацию о состоянии вашего здоровья и развитии эмбриона.
СОВЕТ №4
Не забывайте о важности регулярных анализов и обследований в течение беременности. Это поможет вам следить за состоянием как вашего организма, так и здоровья плода, а также своевременно выявлять возможные проблемы.












