Опухоли образуют большую группу разнообразных новообразований в легких человека. В этом случае значительно разрастаются ткани легкого, легочной плевры или бронхов, которые состоят из физически измененных клеток, которые более не в состоянии выполнять свои функции.
Доброкачественные и злокачественные образования различаются по степени дифференцировки пораженных клеток.
Кроме того, в легкие возможно попадание опухолевидных участков ткани из других органов, эти опухоли по умолчанию считаются злокачественными.
- Симптомы доброкачественных образований
- Рекомендуемые обследования для установления диагноза
- Лечение доброкачественной опухоли
Причины, факторы развития и дифференциация недуга
Среди причин, которые приводят к новообразованиям в легких, можно выделить множество различных факторов:
- это генные особенности организма человека,
- разнообразные генетические дефекты, мутации, вирусы,
- разнообразные химические вещества (формальдегид, бензантрацен, ультрафиолетовое излучение, многие радиоактивные изотопы) воздействующие на организм человека,
- табачный дым, пагубно влияющий на легкие курильщика.
Особенно стоит отметить, что риск развития новообразования увеличивается в случае хронического заболевания со снижением иммунитета, например:
- Бронхиальной астмы.
- ХОБЛ.
- Хронического бронхита.
- Туберкулеза, пневмонии, и некоторых других заболеваний.
Для того чтобы дифференцировать новообразование необходимы дополнительные обследования: опухоль может быть и доброкачественной гранулемой, которые являются довольно безобидными по своей природе, но также есть вероятность того, что новообразование окажется злокачественной опухолью, которую в срочном порядке необходимо излечивать.
Среди новообразований выделяют две категории:
- Доброкачественные опухоли,
- Злокачественные.
Доброкачественные образования появляются из обычных, похожих на здоровые, клеток. В них образуется псевдокапсула, а окружающие ткани атрофируются.
Метастазы данный вид опухолей не образует. Доброкачественные опухоли появляются в большинстве своем у мужчин и женщин до 45 лет, а общий в процентном соотношении они составляют около 7-10% от всей совокупности всех возможных новообразований в легких.
Доброкачественные опухоли бронхов происходят от клеток, которые схожи в своем строении со здоровыми клетками. Эти образования медленно растут, не разрушают соседние клетки и не инфильтруют.
Выделяют следующие виды доброкачественных образований:
-
Центральные. Могут формироваться из главных бронхов, они располагаются, главным образом, в правом легком. Злокачественные опухоли разрастаются из сегментарных отделов – в этом состоит одно из главных отличий злокачественного образования от доброкачественного.
Рост опухолей происходит как в окружающие ткани, так и внутрь бронхов.
- Периферические опухоли более распространенные, нежели центральные, они локализуются в равной степени в обоих легких, они склонны образовываться из бронхов и располагающихся рядом с ними многочисленных тканей. Наиболее часто встречающийся тип опухолей.
- Смешанные типы опухолей, сочетающие в себе признаки двух вышеперечисленных типов.
Врачи отмечают, что новообразования в легких могут быть как доброкачественными, так и злокачественными. К основным видам относятся аденомы, карциномы и саркомы. Симптомы варьируются, но часто включают кашель, одышку, боли в груди и потерю веса. На ранних стадиях заболевания может отсутствовать явная симптоматика, что затрудняет диагностику. Для выявления новообразований используются рентгенография, компьютерная томография и бронхоскопия. Лечение зависит от типа и стадии опухоли и может включать хирургическое вмешательство, химиотерапию и радиотерапию. Врачи подчеркивают важность ранней диагностики для повышения шансов на успешное лечение.
Симптомы доброкачественных образований
Проявления доброкачественных опухолей достаточно разнообразны и подразделяются на категории в зависимости от стадии заболевания. Различают три стадии заболевания:
- На первой стадии пациенты практически не замечают каких-либо осложнений, может присутствовать небольшой кашель с кровью. Общее самочувствие находится в рамках нормы.
-
Вторая стадия доброкачественной опухоли проявляет себя гораздо сильнее: появляются слабость, одышка, заметный сухой кашель с кровяными выделениями, резко подскакивает температура тела больного.
Здесь большую роль играют размеры опухоли и ее расположение по отношению к другим органам, сосудам и нервам. Это приводит к развитию эмфиземы – вздутия в легком. Просветы бронхов закупориваются мокротой и рвотой.
- Третья стадия ознаменовывается не подлежащими трансформация изменениями – ткань легкого навсегда изменяется, температура тела становится стабильно повышенной, выделяется кровь с гноем, наступают многочисленные приступы удушья. Большие размеры новообразования могут приводить к сильным болям в месте его локализации, сдавливаются бронхиальные просветы, и это приводит к нарушению бронхиальной проходимости. Эрозия сосудов может приводить развитие усиленного сплевывания крови и кровотечения внутри легкого.
Диагностика недуга
Для того чтобы поставить верный диагноз, необходимо провести несколько дополнительных процедур. Нужно обратить внимание, что одиночные узлы в легких особенно опасны для людей старше 35 лет и могут быть у курильщиков – в том числе и у тех, кто бросил курить недавно.
У людей, которые не курят и которым меньше 35 лет, шанс того что одиночное новообразование будет злокачественным и образуется рак легкого, составляет менее одного процента.
Это наблюдение позволяет сделать заключение о доброкачественности образования. Следующим признаком станут физические размеры новообразования: опухоли размером менее сантиметра в редчайших случаях бывают злокачественными.
Включения кальция в опухоль легкого также снижают вероятность того, что она является злокачественной – это можно установить с помощью того же рентген-наблюдения. И еще одним признаком доброкачественности образования является отсутствие роста опухоли в течение двух лет. Данное наблюдение должно проводиться под взором врачей, которые должны тщательно наблюдать за новообразованием и вносить коррективы с учетом изменения ее размера.
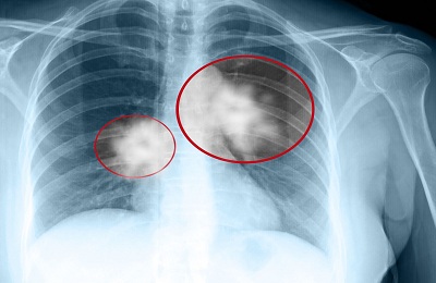
Рентгенограмма используется для выявления разнообразных патологических заболеваний легких, с ее помощью можно выявить различные новообразования в легких. На рентгене новообразование просматривается как нечеткая тень с очерченными границами, структура таких образований достаточно четкая и однородная, однако можно заметить и некоторые особенно выделяющиеся элементы: похожие на глыбы небольшого размера обезвествления – гамартомы и туберкулемы – и твердые, структурно похожие на кость, фрагменты – тератомы.
Новообразования доброкачественной или злокачественной природы нередко проходят бессимптомно – пациент не предъявляет никаких жалоб, а данные патологии возможно обнаружить лишь на исследованиях с использованием рентгена.
Но все же нужно знать, что приведенные выше сведения не дают стопроцентной гарантии доброкачественности опухоли и, безусловно, не могут служить достаточным основанием для постановления диагноза. Только специалист, наблюдающий длительное время пациента и знающий его историю болезни, на основе анализа данных и рентгенограммы, а также эндоскопических наблюдений может сделать экспертное заключение. Решающим моментом является биопсия, изучение материалов которой станет основанием для вердикта врача.
Новообразования в легких вызывают множество обсуждений среди пациентов и врачей. Люди часто делятся своими переживаниями о симптомах, таких как постоянный кашель, одышка, боли в груди и необъяснимая потеря веса. Эти признаки могут насторожить и заставить обратиться к специалисту. Многие отмечают, что ранняя диагностика играет ключевую роль в успешном лечении. Современные методы, такие как компьютерная томография и биопсия, помогают точно определить тип опухоли. В зависимости от диагноза, лечение может включать хирургическое вмешательство, химиотерапию или радиотерапию. Пациенты подчеркивают важность поддержки близких и психологической помощи в этот непростой период. Обсуждение методов лечения и обмен опытом помогают многим справиться с диагнозом и находить надежду на выздоровление.
Рекомендуемые обследования для установления диагноза
Важным моментом станет сохранение старых рентген-снимков, которые нужны для того, чтобы сравнить с новейшими снимками. Это позволит более точно идентифицировать локализацию новообразования и определить его природу. Эта операция поможет сохранить время и избежать ненужных действий и скорее приступить к лечению.
Если же у пациента нет возможности найти снимки, сделанные в недавнем прошлом, тогда людям до 35 лет, которые не курят, необходимо проводить томографию легких раз в три месяца, а далее проводить эту процедуру один раз в год – и это при отсутствии данных, говорящих о злокачественности образования. Кроме того, рекомендуется делать и флюорографию, которую должны проводить поликлиники по месту жительства.
Компьютерная томограмма будет неоценимым помощником в выявлении доброкачественной опухоли, потому что она позволяет выявить не только новообразования, но и найти следы жировой ткани, которая свойственна липомам, она поможет найти жидкость в легких.
Жидкость присутствует в кистах и опухолях сосудистого происхождения. Компьютерная томограмма дает возможность отличить доброкачественные образования от туберкулом, различных вариантов рака и периферического рака.
Докторами также должно определяться наличие или отсутствие голосового дрожания и дыхания, определения хрипов в грудной клетке. Ассиметричная грудная клетка может стать признаком обтурбации главного бронха легкого, другие признаки этого недуга – сглаженные межреберные промежутки и отставание соответственной половины клетки в динамике. Если суммы полученных данных от этих исследований недостаточно, тогда врачи применяют другие методы: торакоскопию или торакомию с биопсией.
Лечение доброкачественной опухоли
В данном случае медикаментозная терапия бесполезна, доброкачественное образование подлежит полному удалению путем хирургического вмешательства. Только своевременная диагностика позволяет избежать необратимых последствий для здоровья больного и его легких.
Опухоли определяют методом тораскопии или торакомии.
Особенно важно раннее диагностирование опухоли, которое позволяет сохранить максимальное количество ткани во время операции, а это в свою очередь дает возможность избежать многочисленных осложнений. Восстановлением после операции занимается пульмонологическое отделение. Абсолютное большинство операций завершается вполне успешно, а повторное возникновение опухолей практически исключено.
Для удаления центральной опухоли легкого используют метод резекции бронха. При этом способе не затрагивается ткань легкого, а делается небольшой надрез, который позволяет сохранить большую часть функциональной ткани легкого. Окончатая резекция используется для удаления бронха на так называемом узком основании, которое впоследствии ушивается или на этом месте производится бронхотомия.
При более серьезном и массивном новообразовании удаляют одну или две доли легкого – этот метод носит название лобэктомия или билобэктомия. Иногда – в особенно тяжелых случаях прибегают к пневмонэктомии – удалению всего легкого. Эта операция показана больным, которые получили серьезное повреждение легких из-за возникновения доброкачественной опухоли. Периферические опухоли ампутируют с помощью энуклеации, также возможно применение сегментарной резекции, а особенно массивные новообразования ампутируют методикой лобэктомии.
Пациенты старше тридцати пяти лет и курильщики, в добавление к вышеприведенным обследования, также обязаны проводить биопсию. Биопсию проводит опытный хирург, и в зависимости от ее локализации и размеров методика взятия пробы отличается. Обязательно необходимо отметить, что отказ от курения снижает риск появления различных заболеваний легких, в том числе и новообразований.
Вопрос-ответ
Какие бывают новообразования в легких?
Папиллома — новообразования, состоящие из соединительнотканной стромы и визуально напоминающие сосочковидные наросты. Липома — локальное скопление жировой ткани. Аденома — железистое образование до 3 см. Гамартома — эмбриональное образование, состоящее из зародышевой ткани. Ещё
Как лечат доброкачественную опухоль в легких?
Операции при доброкачественных опухолях легких Опухоли на широком основании требуют циркулярной резекции бронха и наложения межбронхиального анастомоза. При развившихся осложнениях проводят операции по иссечению одной или двух долей легкого (лобэктомия или билобэктомия).
Как проявляет себя рак легкого?
Проявляются признаки рака: усиленный влажный кашель, кровь, гной в мокроте, трудности дыхания, одышка, проблемы с глотанием, кровохарканье, резкое похудение, эпилепсия, нарушение речи, при мелкоклеточной форме, интенсивные боли. Симптомы усиливаются, в основном связаны с проявлениями и локализацией метастазов.
Какие симптомы при раке?
Постоянная усталость, повышение температуры, увеличение лимфоузлов, похудение, плохой аппетит, длительный кашель, уплотнения в мягких тканях или железах, изменение размера или цвета родинок, боли в теле, голове.
Советы
СОВЕТ №1
Регулярно проходите медицинские обследования, особенно если у вас есть предрасположенность к заболеваниям легких. Раннее выявление новообразований значительно увеличивает шансы на успешное лечение.
СОВЕТ №2
Обратите внимание на симптомы, такие как постоянный кашель, одышка, необъяснимая потеря веса или кровохарканье. Если вы заметили что-то из перечисленного, не откладывайте визит к врачу.
СОВЕТ №3
Изучите различные методы лечения новообразований, включая хирургическое вмешательство, химиотерапию и радиотерапию. Обсудите с врачом, какой подход будет наиболее эффективным в вашем случае.
СОВЕТ №4
Поддерживайте здоровый образ жизни: сбалансированное питание, регулярные физические нагрузки и отказ от курения могут значительно снизить риск развития новообразований в легких и улучшить общее состояние здоровья.







