Магнитно-резонансная томография (МРТ) является одним из самых новых методов диагностики головного мозга и его сосудов, но, несмотря на небольшой срок применения, проявил себя как высокоэффективный и многообещающий диагностический метод.
Что представляет собой исследование?
В основе работы магнитно-резонансного томографа лежит улавливание радиоволновых импульсов, которые издает каждая клеточка человеческого тела. Но в обычной среде эти радиосигналы невозможно уловить.
Задача томографа – отграничить человеческое тело от внешней среды и воспринять импульсы именно от его клеток.
В состав магнитно-резонансного томографа входит мощный магнит, с помощью которого он создает сильное магнитное поле.

Поскольку молекулы воды в различных клетках организма (внутри просвета сосуда, в его стенке и снаружи от нее) содержатся в разных количествах, то количество сигналов, поступающего от них, будет отличаться.
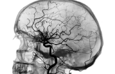
Протоны водорода в молекулах воды производят импульсы, которые улавливаются мощными антеннами томографа. Все эти сигналы, поступая в компьютер аппарата, обрабатываются и преобразуются ним в отпечаток среза. Постепенно накладываясь, срезы формируют трехмерное изображение сканируемого органа.

Такое сканирование тканей головы и шеи обеспечивает высокоточную диагностику патологий вплоть до клеточного уровня, что позволяет выявлять новообразования на ранних стадиях их развития. Фото срезов может быть распечатано на пленке или сохранено на цифровых носителях.
Процедура МРТ сосудов головного мозга, так же, как и МРТ сосудов шеи, является безболезненной и безвредной, так как не несет лучевой нагрузки на организм человека.
В связи с этим пациент, при наличии на то показаний, может многократно проходить это обследование. МРТ практически не имеет противопоказаний, поэтому может назначаться широкому кругу пациентов. Поскольку это сравнительно новый метод диагностики, медиками еще не накоплено достаточно знаний об отдаленных последствиях использования этого метода.

- ранние сроки беременности;
- наличие в теле пациента медицинских приборов, например, кардиостимуляторов;
- наличие в человеческом теле металлосодержащих несъемных протезов, пластин, скоб;
- клаустрофобия.
Врачи отмечают, что магнитно-резонансная томография (МРТ) головного мозга и его сосудов является одним из самых информативных и безопасных методов диагностики. Этот метод позволяет получить детализированные изображения тканей и сосудов, что особенно важно при выявлении различных заболеваний, таких как инсульт, опухоли и аневризмы. Специалисты подчеркивают, что МРТ не использует ионизирующее излучение, что делает его предпочтительным выбором для пациентов всех возрастов. Кроме того, врачи отмечают, что МРТ позволяет не только диагностировать, но и контролировать динамику заболеваний, что способствует более эффективному лечению. Однако важно помнить, что интерпретация результатов должна проводиться квалифицированным специалистом, так как только он способен учесть все нюансы и сопутствующие факторы.

Для чего необходимо МРТ исследование сосудов головы и шеи?
Данное исследование показывает:
- нарушения анатомической структуры стенок сосудов (мальформации, аневризмы, разрывы стенки);
наличие новообразований в стенках сосудов головного мозга и шеи. Благодаря ультратонким срезам, которые способен делать аппарат МРТ, медикам предоставляется возможность обнаружить онкологические заболевания на ранних стадиях;
- наличие бляшек и тромбов внутри сосудов;
- функциональное состояние сосудистого русла головного мозга и шеи;
- патофизиологические нарушения в церебральных сосудах в динамике. С помощью МРТ можно исследовать даже микроциркуляторное русло (капилляры) головного мозга.
Учитывая высокую разрешительную способность этого метода, МРТ сосудов шеи и головы назначают:
- при подозрении на инсульт головного мозга для определения вида инсульта (ишемический или геморрагический) и области поражения головного мозга;
- для определения патологических изменений в сосудах головы и шеи (атеросклероза);
- для обнаружения тромбов в сосудах (при тромбозах, тромбоэмболиях);
- для выявления аномалий строения и патологических изменений стенок артерий и вен (мальформаций, аневризм);
- для определения степени и объема пораженных васкулитами сосудов;
для установления причин мигрени, головных болей и головокружений;
- после перенесенных черепно-мозговых травм;
- при ухудшениях слуха и зрения, нарушениях памяти;
- при слабости в ногах, нарушениях координации движений, для установки диагноза болезни Паркинсона;
- при наличии шума и пульсации в ушах, при вегетососудистой дистонии, артериальной гипер- или гипотензии;
- при проявлениях внутричерепной гипер- или гипотензии;
- при частых носовых кровотечениях;
- при подозрении на дисциркуляторную энцефалопатию;
- при метеозависимости пациента;
- при сдавливании сосудов извне (костными образованиями, разрастанием мягких тканей, отеком);
- для обнаружения новообразований в головном мозге (в этом случае применяют МРТ с контрастом).

Магнитно-резонансная томография (МРТ) головного мозга и его сосудов вызывает у людей разные мнения. Многие пациенты отмечают, что процедура безболезненная и безопасная, что особенно важно для тех, кто испытывает страх перед медицинскими манипуляциями. Однако некоторые выражают беспокойство из-за длительности исследования и необходимости оставаться неподвижным в замкнутом пространстве аппарата.
Среди положительных отзывов часто встречается упоминание о высокой точности диагностики, что позволяет врачам выявлять различные патологии, включая опухоли, инсульты и сосудистые заболевания. Люди также ценят возможность получения детализированных изображений, что способствует более эффективному лечению.
Тем не менее, некоторые пациенты сталкиваются с проблемами, связанными с подготовкой к процедуре, такими как необходимость удаления металлических предметов или ограничения для людей с клаустрофобией. В целом, МРТ головного мозга и его сосудов воспринимается как важный инструмент в современной медицине, способствующий улучшению диагностики и лечения различных заболеваний.
МРТ головного мозга с применением контраста: что это такое?
Кроме обычного МРТ, при исследовании головного мозга иногда прибегают к контрастированию. Это необходимо для детального исследования опухолей головного мозга, а также для определения метастазов. Использование МРТ с контрастом незаменимо в тех случаях, когда невозможно выполнить биопсию опухоли.
С помощью сочетания контрастирования и МРТ можно получить сведения о:
размерах новообразования;
- структуре и доброкачественности опухоли;
- функциональном состоянии новообразования (есть ли признаки озлокачествления или распада опухоли);
- состоянии тканей, окружающих опухоль;
- интенсивности кровоснабжения новообразования.
В качестве контрастирующего вещества применяют малотоксичные хелатные комплексы с солями гадолиния. При введении их в кровь пациента они накапливаются в патологически измененных клетках, таким образом, обнаруживая опухолевый процесс (метастатические очаги, патологические полости (кисты), злокачественные и доброкачественные опухоли).
Магнитно-резонансные томографы – дорогостоящие аппараты. Поэтому они сосредоточены в основном в крупных, экономически развитых регионах. Средняя стоимость одного исследования:
-
МРТ сосудов шеи:
- в Москве составляет 3700-4200 рублей;
- в Санкт-Петербурге – 3500-4000 рублей;
-
МРТ сосудов головного мозга:
- в Москве составляет 2700-3000 рублей;
- в Санкт-Петербурге – 2500-2800 рублей.
Несмотря на сравнительную дороговизну исследования, МРТ сосудов головы и шеи оправдывает эти затраты, так как является самым высокочувствительным диагностическим методом на сегодняшний день.
Иногда МРТ становится единственным способом спасти жизнь человеку. Так, например, неправильно установленная причина возникновения инсульта головного мозга (ишемия или кровоизлияние) может стоить жизни пациенту из-за назначения ему неадекватного лечения.

Вопрос-ответ
Какова основная цель магнитно-резонансной томографии головного мозга?
Основная цель магнитно-резонансной томографии (МРТ) головного мозга заключается в получении детализированных изображений структуры и состояния тканей мозга. Это позволяет врачам диагностировать различные заболевания, такие как опухоли, инсульты, рассеянный склероз и другие неврологические расстройства.
Как подготовиться к процедуре МРТ?
Перед проведением МРТ пациенту обычно рекомендуется снять все металлические предметы, такие как украшения и часы, так как они могут повлиять на качество изображения. Также важно сообщить врачу о наличии имплантатов, кардиостимуляторов или других медицинских устройств, так как они могут быть противопоказанием для процедуры.
Каковы возможные риски и побочные эффекты МРТ?
Магнитно-резонансная томография считается безопасной процедурой, так как не использует ионизирующее излучение. Однако у некоторых пациентов может возникнуть дискомфорт из-за необходимости длительного нахождения в замкнутом пространстве аппарата. В редких случаях может возникнуть аллергическая реакция на контрастное вещество, если оно используется во время исследования.
Советы
СОВЕТ №1
Перед проведением магнитно-резонансной томографии (МРТ) обязательно проконсультируйтесь с врачом. Он поможет определить необходимость исследования и объяснит, какие показания могут быть у вас для МРТ головного мозга и сосудов.
СОВЕТ №2
Убедитесь, что у вас нет противопоказаний к проведению МРТ, таких как наличие металлических имплантов, кардиостимуляторов или других устройств, которые могут повлиять на результаты исследования. Сообщите врачу о всех медицинских устройствах, которые у вас есть.
СОВЕТ №3
Перед процедурой постарайтесь расслабиться и не переживать. МРТ может занять от 20 до 60 минут, и важно оставаться неподвижным для получения качественных изображений. Если у вас есть страх замкнутого пространства, обсудите это с медицинским персоналом заранее.
СОВЕТ №4
После завершения МРТ не спешите покидать клинику. Обсудите с врачом результаты и дальнейшие шаги, если это необходимо. Также уточните, когда и как вы сможете получить результаты исследования.
наличие новообразований в стенках сосудов головного мозга и шеи. Благодаря ультратонким срезам, которые способен делать аппарат МРТ, медикам предоставляется возможность обнаружить онкологические заболевания на ранних стадиях;
для установления причин мигрени, головных болей и головокружений;
размерах новообразования;
МРТ сосудов шеи: