О таком диагнозе, как «киста сосудистого сплетения» еще 20 лет назад никто даже и не слышал. Этот диагноз стали выставлять плодам и новорожденным лишь с появлением новых, мощных УЗИ-аппаратов, а также введением нейросоноскопии в рутинную педиатрическую практику.
У женщин, малышам которых ставят диагноз «киста сосудистого сплетения», сразу же возникает масса вопросов. И это не удивительно, ведь образование локализуется в головном мозге, что сразу же наталкивает на тревожные мысли. Что представляет собой такое образование? Насколько оно опасно? Нужно ли его удалять? На все эти, а также многие другие вопросы мы ответим далее.
О природе кистозного образования
Настоящая киста – это полостное образование, которое имеет свою собственную капсулу, и, как правило, заполнено каким-либо содержимым. Истинные кисты могут появляться практически в любом внутреннем органе по причине затруднения оттока тканевой жидкости или же специфического секрета (например, кисты поджелудочной железы при хроническом панкреатите).

Такая аномалия представляет собой очаговое скопление жидкости в структурах формирующегося сосудистого сплетения головного мозга. Данную аномалию корректнее называть псевдокистой, ведь она не имеет собственной капсулы, следовательно, и собственного отграниченного содержимого.
Теперь уместно было бы рассказать о том, что же это за сплетения, в которых могут формироваться псевдокисты.
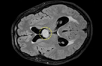
Наш головной мозг состоит из двух полушарий, в каждом из которых есть своя желудочковая система. Самые большие желудочки мозга – боковые, левый и правый, соответственно.
Так вот, в полости каждого из этих желудочков есть сплетения, образованные сосудами, которые продуцируют спинномозговую жидкость. Эта жидкость циркулирует по желудочковой системе мозга и выполняет ряд физиологически важных функций.
Сплетения желудочков мозга, впрочем, как и головной мозг, формируются на протяжении всего внутриутробного периода, а также на протяжении первых месяцев жизни новорожденного.
Пока эти сплетения формируются, они еще не совершенны и не справляются полноценно с возложенной на них функцией. В зоне их формирования возможны очаговые скопления продуцируемой ими же спинномозговой жидкости. На УЗИ такие скопления будут иметь признаки кистозной полости, по причине чего их и называют кистами сосудистых сплетений.
Кисты, локализующиеся в сосудистом сплетении мозга, представляют собой относительно редкое явление, которое вызывает интерес у специалистов. Врачи отмечают, что основными причинами их развития могут быть как врожденные аномалии, так и приобретенные факторы, такие как инфекции или травмы. По мнению нейрохирургов, большинство таких кист не вызывает серьезных симптомов и часто обнаруживается случайно при проведении МРТ. Однако в некоторых случаях они могут приводить к повышению внутричерепного давления или другим неврологическим нарушениям. Прогноз при данной патологии, как правило, благоприятный, особенно если киста не увеличивается в размерах и не вызывает клинических проявлений. Важно, чтобы пациенты находились под наблюдением специалистов, чтобы своевременно выявить возможные изменения в состоянии.

Почему они формируются?
Ни один специалист не сможет вам назвать конкретную причину того, почему появляются кисты сосудистых сплетений. Некорректно считать их пороками развития, связывать их появление с генетическими нарушениями, хромосомными мутациями и т.д.

А если вы встретите информацию о том, что развитию кисты может поспособствовать инфекционное заболевание матери, интоксикация, то, вероятнее всего, речь идет о причинах формирования истинных кист. Последние локализуются не в области желудочков, а непосредственно в полушариях мозга, кроме того, они имеют все признаки кистозной полости. Нужно помнить о том, что в сплетениях желудочков мозга может локализоваться только псевдокиста.
https://youtube.com/watch?v=XIxzYJmAy8E
Опасны ли эти образования?
Из информации, предоставленной выше, плавно вытекает вывод о том, что кисты сосудистых сплетений не представляют собой какой-либо угрозы, не несут опасности для жизни и здоровья новорожденного.

- самопроизвольно регрессировать;
- оставаться в неизменном состоянии на протяжении всей жизни;
- несколько увеличиваться в размерах.
Следует отметить, что в 99,9 % случаев имеет место один из первых двух вариантов развития событий, которые были предложены выше. При этом не имеет значения, в каком из желудочков мозга локализовалось образование – в правом или же в левом. То есть, с наибольшей вероятностью киста сосудистого сплетения уйдет сама по себе, что чаще всего происходит в возрасте грудничка, или же останется с человеком на всю жизнь, не давая о себе знать.
Те случаи, когда такие псевдокистозные образования увеличиваются в размерах, казуистичны. Но, к сожалению, исключить на 100 % данный вариант развития событий не представляется возможным.
Если киста сосудистого сплетения будет расти, то это может привести к сдавлению отдельных участков мозга, а также к нарушению ликвородинамики (циркуляции спинномозговой жидкости в системе желудочков мозга). Все это довольно серьезные расстройства, однако, повторимся и отметим еще раз, что вероятность увеличения в размерах кисты сосудистых сплетений крайне низка.
Кисты, локализующиеся в сосудистом сплетении мозга, вызывают интерес и беспокойство как у пациентов, так и у врачей. Эти образования могут быть как врожденными, так и приобретенными, и их причины разнообразны: от генетических факторов до инфекций и травм. Многие люди не осознают, что кисты часто не проявляют симптомов и могут быть случайной находкой при проведении МРТ. Однако в некоторых случаях они могут вызывать головные боли, судороги или неврологические нарушения.
Прогноз при наличии таких кист, как правило, благоприятный, особенно если они небольшие и не вызывают осложнений. Важно регулярно наблюдаться у специалиста, чтобы контролировать динамику их роста. В редких случаях, если киста начинает увеличиваться или вызывает симптомы, может потребоваться хирургическое вмешательство. В целом, осведомленность о данной патологии и своевременная диагностика играют ключевую роль в успешном лечении и поддержании качества жизни пациентов.
Что нужно делать при обнаружении таких образований?
Когда обнаруживают кисты сосудистых сплетений у плода, то есть, еще во время внутриутробного развития ребенка, женщине не дают каких-либо особых рекомендаций на период беременности. Если во время УЗИ не было выявлено других, более серьезных аномалий, то беременную ведут по стандартной схеме.

- на третьем месяце жизни;
- на шестом месяце жизни;
- на первом году жизни.
В указанные сроки будет проводиться соответствующее исследование, которое позволит наблюдать имеющуюся аномалию, следить за динамикой ее развития (или отсутствием таковой), а также исключить вероятность возникновения каких-либо других нарушений.
На вопрос о том, нужно ли удалять кисты сосудистых сплетений у новорожденных, ответ однозначен – нет, этого делать не нужно. Если вашему ребенку выставили соответствующий диагноз и рекомендуют операцию (непосредственно по поводу псевдокистозного образования), то это повод задуматься и обратиться к другому врачу.

Прогноз для жизни и здоровья ребенка, у которого обнаруживают кисту, локализующуюся в пределах сплетения желудочков мозга, благоприятен. Ведь эти кисты не склонны к росту, разрывам, а уж тем более к малигнизации (перерождения в злокачественное образование). Вероятность того, что такое образование начнет расти у грудничка, крайне низка и составляет 0,01 %. Наблюдение за развитием головного мозга в динамике позволяет исключить вероятность проявления нежелательных осложнений.

Вопрос-ответ
Что такое сосудистое сплетение и какую роль оно играет в мозге?
Сосудистое сплетение — это структура, расположенная в желудочках мозга, которая отвечает за выработку спинномозговой жидкости. Оно состоит из капилляров и клеток, которые обеспечивают фильтрацию и транспорт веществ, необходимых для нормального функционирования мозга.
Какие симптомы могут указывать на наличие кисты в сосудистом сплетении?
Симптомы кисты в сосудистом сплетении могут варьироваться в зависимости от её размера и расположения. Наиболее распространенные проявления включают головные боли, нарушения координации, изменения в зрении и слухе, а также неврологические расстройства. В некоторых случаях кисты могут быть бессимптомными и обнаруживаться случайно при проведении нейровизуализации.
Каковы прогнозы для пациентов с кистами в сосудистом сплетении?
Прогноз для пациентов с кистами в сосудистом сплетении обычно благоприятный, особенно если киста не вызывает симптомов и не увеличивается в размере. В большинстве случаев такие кисты не требуют лечения и могут быть просто наблюдаемыми. Однако в случае появления симптомов или роста кисты может потребоваться хирургическое вмешательство или другое лечение, что может повлиять на прогноз.
Советы
СОВЕТ №1
Регулярно проходите медицинские обследования, особенно если у вас есть предрасположенность к неврологическим заболеваниям. Это поможет выявить кисты на ранних стадиях и начать необходимое лечение.
СОВЕТ №2
Обратите внимание на симптомы, такие как головные боли, изменения в зрении или слухе, и немедленно обращайтесь к врачу при их появлении. Раннее обращение за медицинской помощью может значительно улучшить прогноз.
СОВЕТ №3
Изучите информацию о возможных методах лечения и управления кистой, включая наблюдение, медикаментозную терапию и хирургическое вмешательство. Знание своих вариантов поможет вам принимать более обоснованные решения вместе с врачом.
СОВЕТ №4
Поддерживайте здоровый образ жизни: правильное питание, регулярные физические нагрузки и отказ от вредных привычек могут помочь укрепить общее состояние здоровья и снизить риск осложнений.